honeypot link
skip to main content
プロフェッショナル版
家庭版
Msd マニュアル
プロフェッショナル版
医学事典
リソース
コラム
診察・手技ビデオ
クイズ
MSDマニュアルについて
医学事典
リソース
<
画像
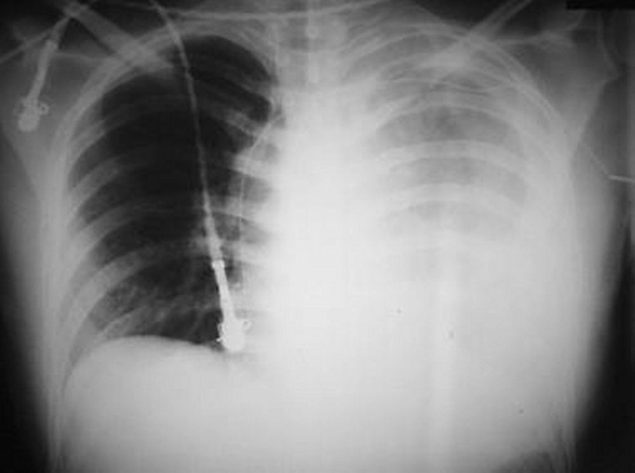
血胸
この写真には,左胸部に受けた銃創により生じた広範な血胸が写っている。
© Springer Science+Business Media
関連するトピック
血胸
>