良性高血圧性細動脈腎硬化症
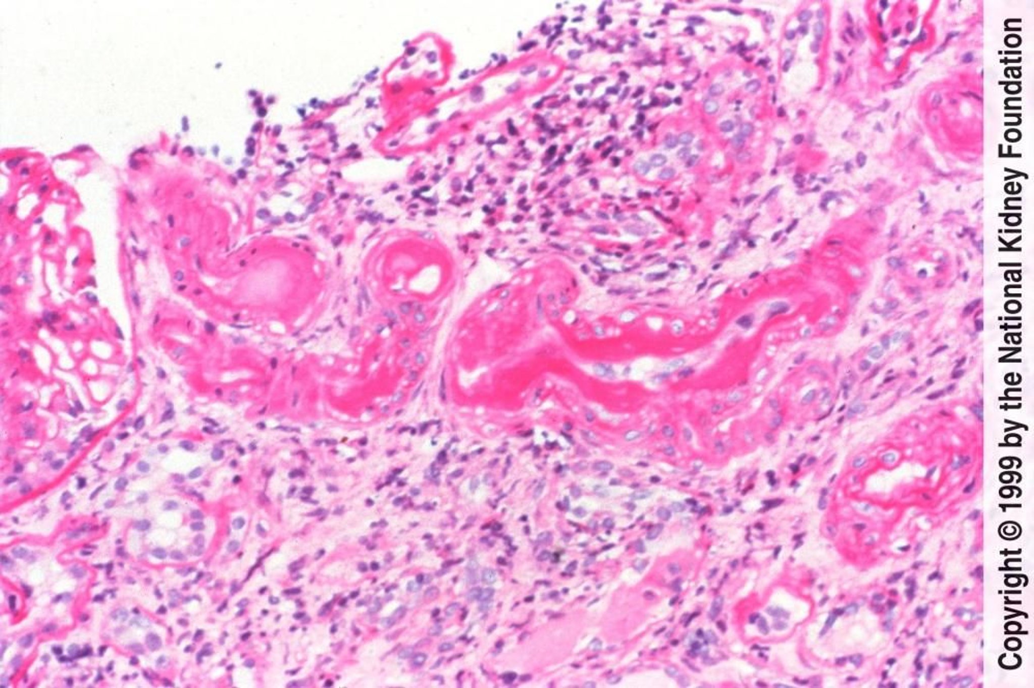
良性高血圧性細動脈腎硬化症の組織学的特徴は,血漿タンパク質の滲出に起因する細動脈の硝子様変性,ならびに血管平滑筋細胞の肥大および過形成の両方に起因する中膜肥厚である(PAS染色,200倍)。
Image provided by Agnes Fogo, MD, and the American Journal of Kidney Diseases' Atlas of Renal Pathology (see www.ajkd.org).
関連するトピック
良性高血圧性細動脈腎硬化症の組織学的特徴は,血漿タンパク質の滲出に起因する細動脈の硝子様変性,ならびに血管平滑筋細胞の肥大および過形成の両方に起因する中膜肥厚である(PAS染色,200倍)。
Image provided by Agnes Fogo, MD, and the American Journal of Kidney Diseases' Atlas of Renal Pathology (see www.ajkd.org).