honeypot link
skip to main content
プロフェッショナル版
家庭版
Msd マニュアル
プロフェッショナル版
医学事典
リソース
コラム
診察・手技ビデオ
クイズ
MSDマニュアルについて
医学事典
リソース
<
画像
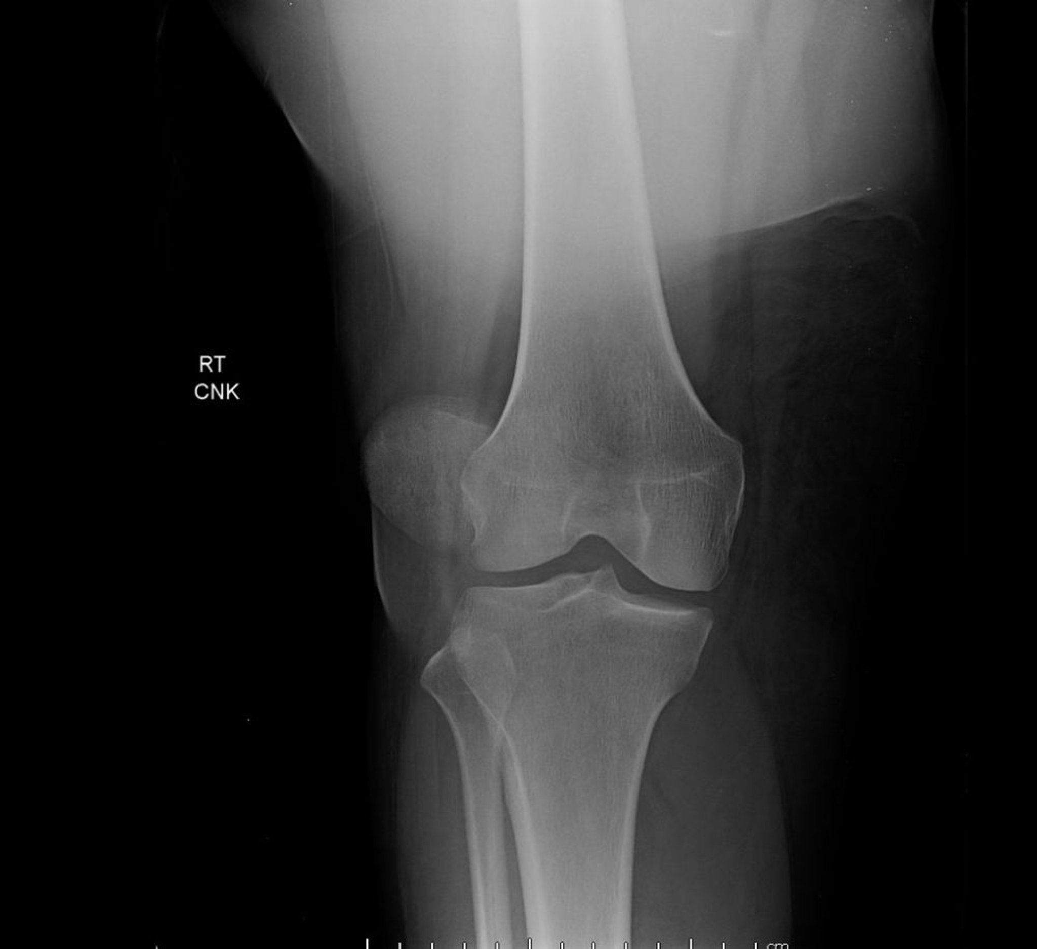
膝蓋骨脱臼(X線)
この膝関節の前後像は,大腿骨顆間の正常な位置から外れた膝蓋骨の極端な側方変位を特徴とする膝蓋骨脱臼を示している。
Image courtesy of Danielle Campagne, MD.
関連するトピック
膝蓋骨脱臼
>