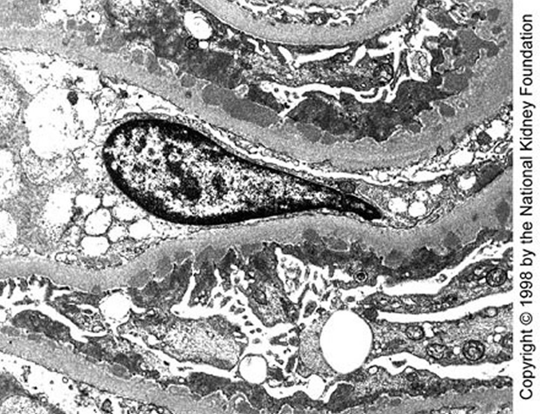
膜性腎症(高電子密度沈着物)
ステージI後期の透過型電子顕微鏡像で,上皮下に中等大の高電子密度沈着物が認められる(10,200倍)。
Image provided by Agnes Fogo, MD, and the American Journal of Kidney Diseases' Atlas of Renal Pathology (see www.ajkd.org).
関連するトピック
ステージI後期の透過型電子顕微鏡像で,上皮下に中等大の高電子密度沈着物が認められる(10,200倍)。
Image provided by Agnes Fogo, MD, and the American Journal of Kidney Diseases' Atlas of Renal Pathology (see www.ajkd.org).