honeypot link
skip to main content
プロフェッショナル版
家庭版
Msd マニュアル
プロフェッショナル版
医学事典
リソース
コラム
診察・手技ビデオ
クイズ
MSDマニュアルについて
医学事典
リソース
<
画像
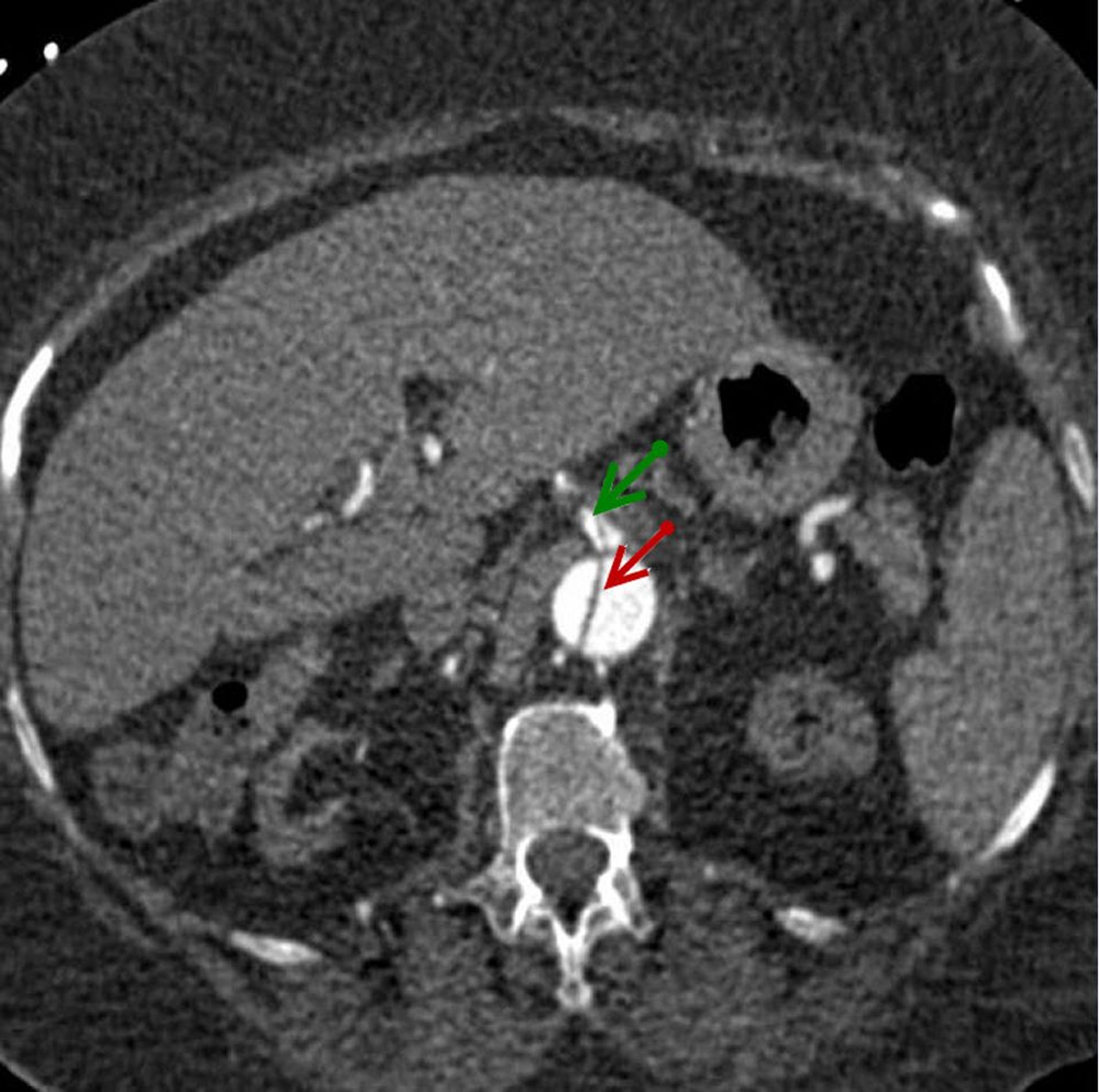
腹部大動脈解離
上腸間膜動脈(緑矢印)に進展している腹部大動脈(赤矢印)の解離したフラップの水平断像。
© 2017 Elliot K.Fishman, MD.
関連するトピック
大動脈解離
>