honeypot link
skip to main content
プロフェッショナル版
家庭版
Msd マニュアル
プロフェッショナル版
医学事典
リソース
コラム
診察・手技ビデオ
クイズ
MSDマニュアルについて
医学事典
リソース
<
画像
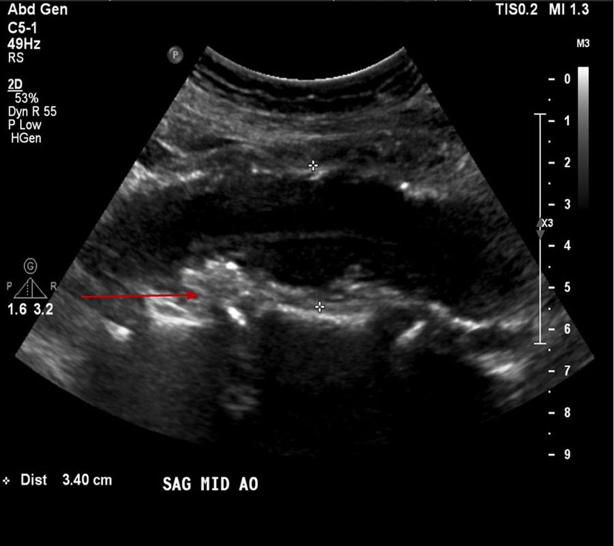
腹部大動脈瘤(超音波画像)
この患者では,3.4cmの腹部大動脈瘤がみられ(白い十字記号の間),アテローム性プラーク,壁在血栓(赤矢印)もみられる。
© 2017 Elliot K.Fishman, MD.
関連するトピック
腹部大動脈瘤(AAA)
>