honeypot link
skip to main content
プロフェッショナル版
家庭版
Msd マニュアル
プロフェッショナル版
医学事典
リソース
コラム
診察・手技ビデオ
クイズ
MSDマニュアルについて
医学事典
リソース
<
画像
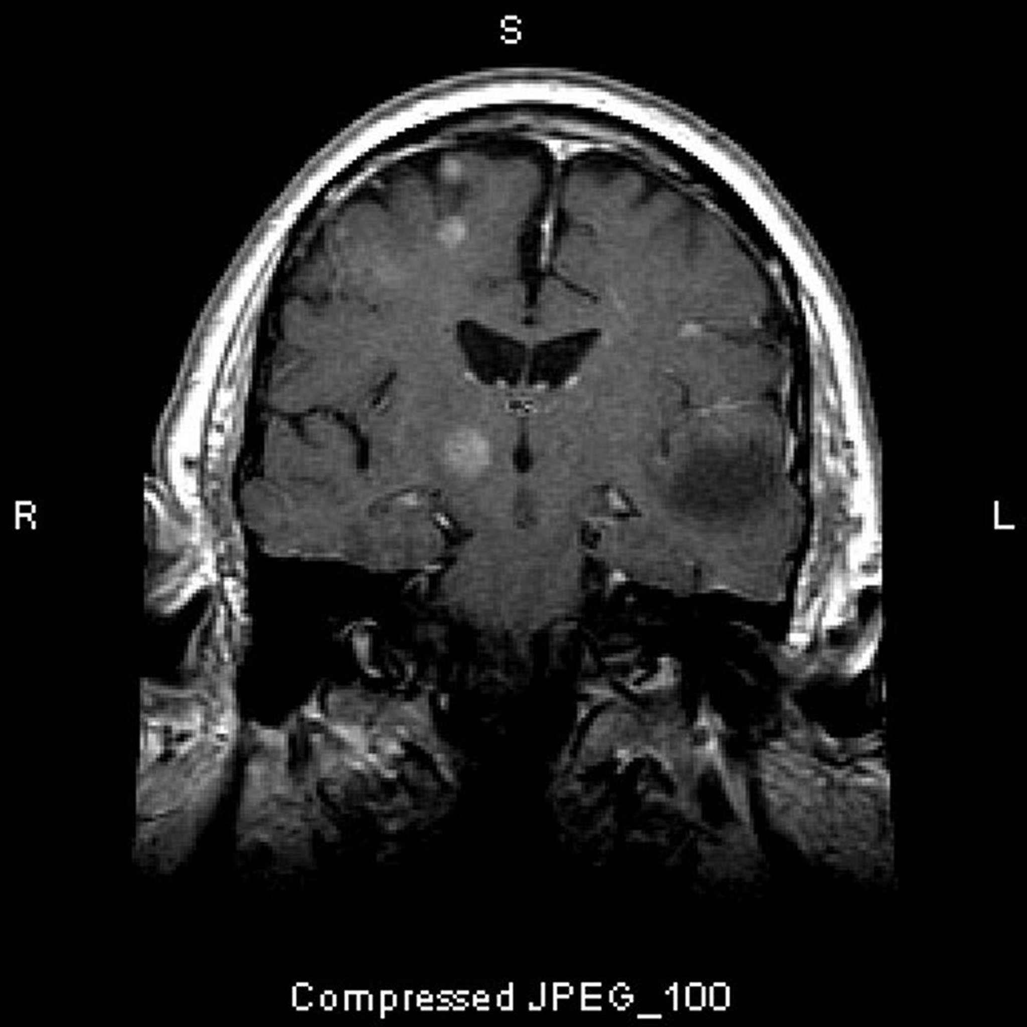
脳転移
このMRIで認められる複数の脳病変は転移性腫瘍である。転移性脳腫瘍の80%以上は多発性である。
Image courtesy of William R.Shapiro, MD.
関連するトピック
頭蓋内腫瘍の概要
>