honeypot link
skip to main content
プロフェッショナル版
家庭版
Msd マニュアル
プロフェッショナル版
医学事典
リソース
コラム
診察・手技ビデオ
クイズ
MSDマニュアルについて
医学事典
リソース
<
画像
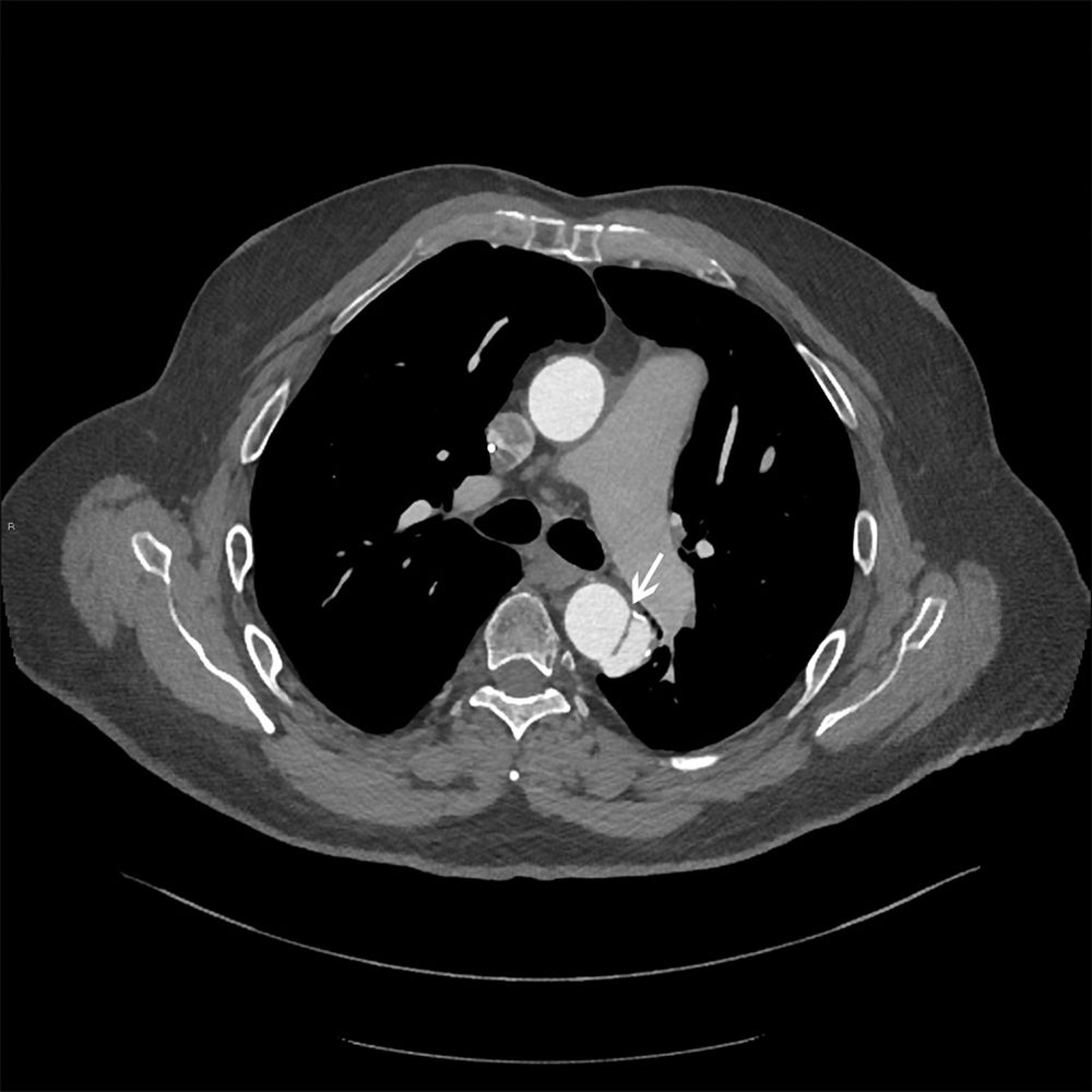
胸部大動脈解離(Stanford B型)
下行大動脈の解離したフラップ(白矢印)の水平断像。
© 2017 Elliot K.Fishman, MD.
関連するトピック
大動脈解離
>