胸水―大量
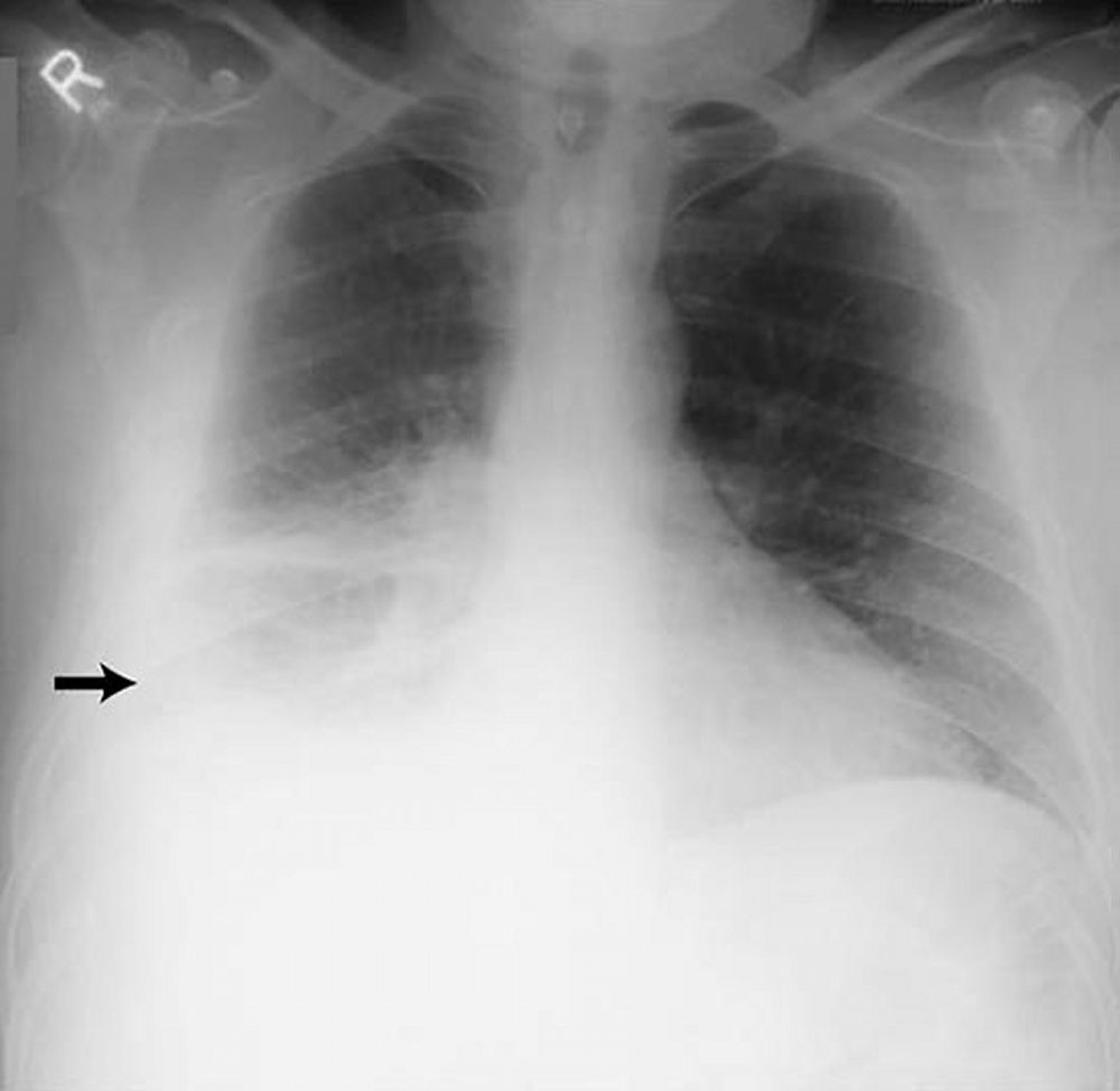
リウマチ性胸膜炎の患者における大量の右側胸水(矢印)。
By permission of the publisher.From Huggins J, Sahn S.In Bone's Atlas of Pulmonary and Critical Care Medicine.Edited by J Crapo.Philadelphia, Current Medicine, 2005.
関連するトピック
リウマチ性胸膜炎の患者における大量の右側胸水(矢印)。
By permission of the publisher.From Huggins J, Sahn S.In Bone's Atlas of Pulmonary and Critical Care Medicine.Edited by J Crapo.Philadelphia, Current Medicine, 2005.