honeypot link
skip to main content
プロフェッショナル版
家庭版
Msd マニュアル
プロフェッショナル版
医学事典
リソース
コラム
診察・手技ビデオ
クイズ
MSDマニュアルについて
医学事典
リソース
<
画像
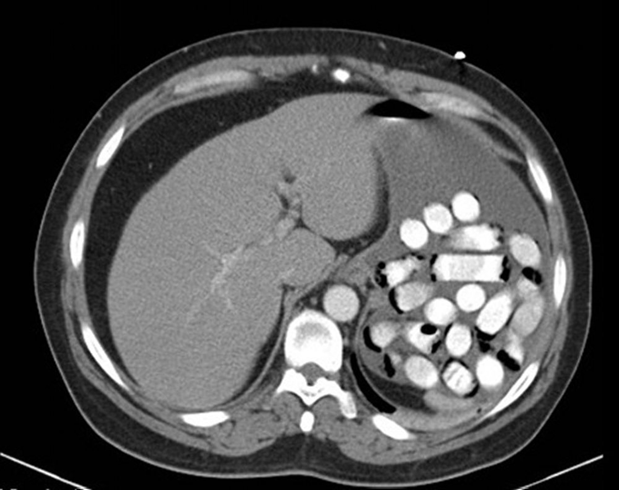
胃内異物(CT)
この画像には,胃の中にある薬物の包みが写っている。
Image provided by Alan Gingold, DO.
関連するトピック
胃内および腸管内異物
>