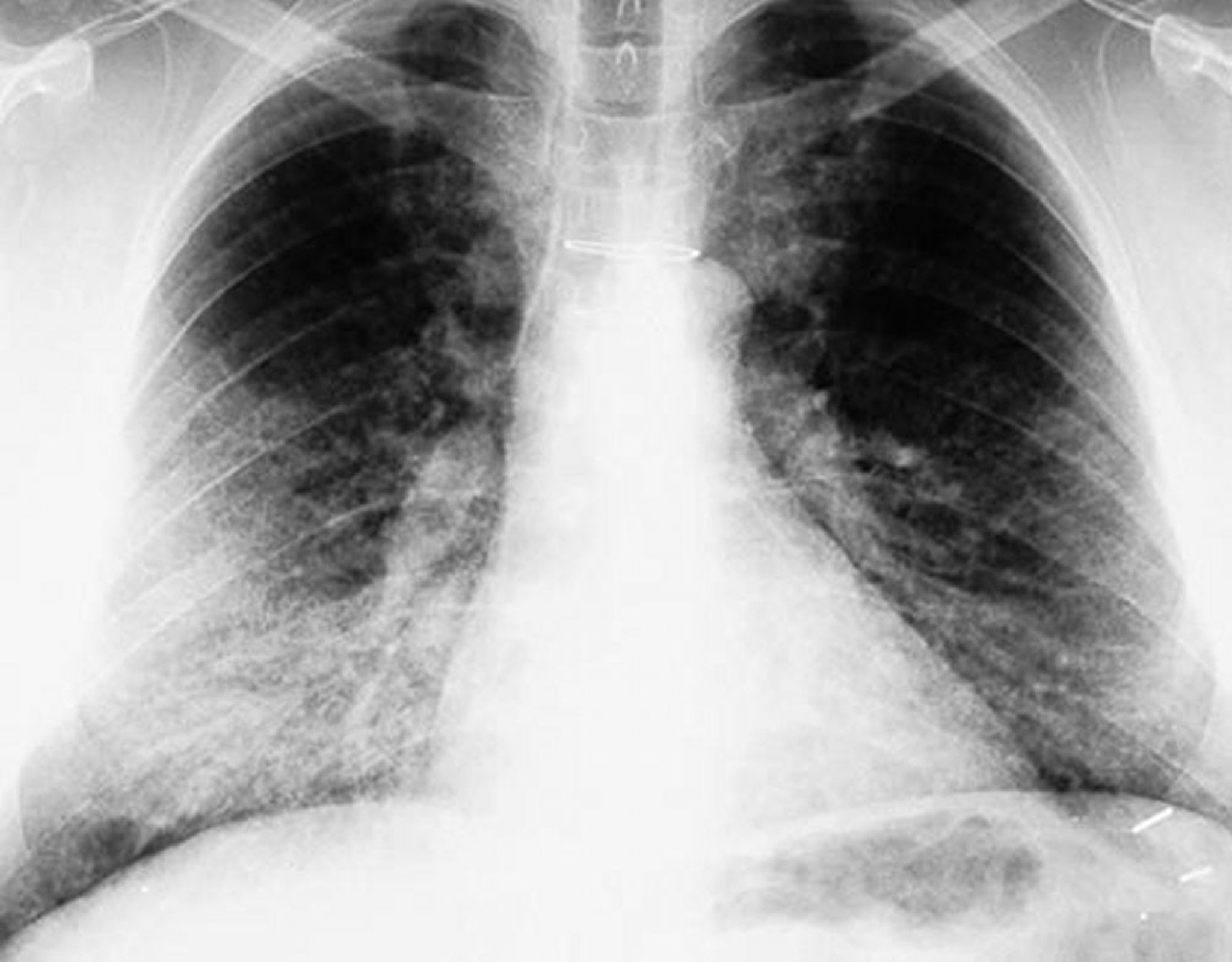
肺胞タンパク症(胸部X線)
胸部X線上で,両側性に肺底部優位の陰影がみられる。
By permission of the publisher.From Lynch III J, Myers J. In Bone's Atlas of Pulmonary and Critical Care Medicine.Edited by J Crapo.Philadelphia, Current Medicine, 2005.
関連するトピック
胸部X線上で,両側性に肺底部優位の陰影がみられる。
By permission of the publisher.From Lynch III J, Myers J. In Bone's Atlas of Pulmonary and Critical Care Medicine.Edited by J Crapo.Philadelphia, Current Medicine, 2005.