honeypot link
skip to main content
プロフェッショナル版
家庭版
Msd マニュアル
プロフェッショナル版
医学事典
リソース
コラム
診察・手技ビデオ
クイズ
MSDマニュアルについて
医学事典
リソース
<
画像
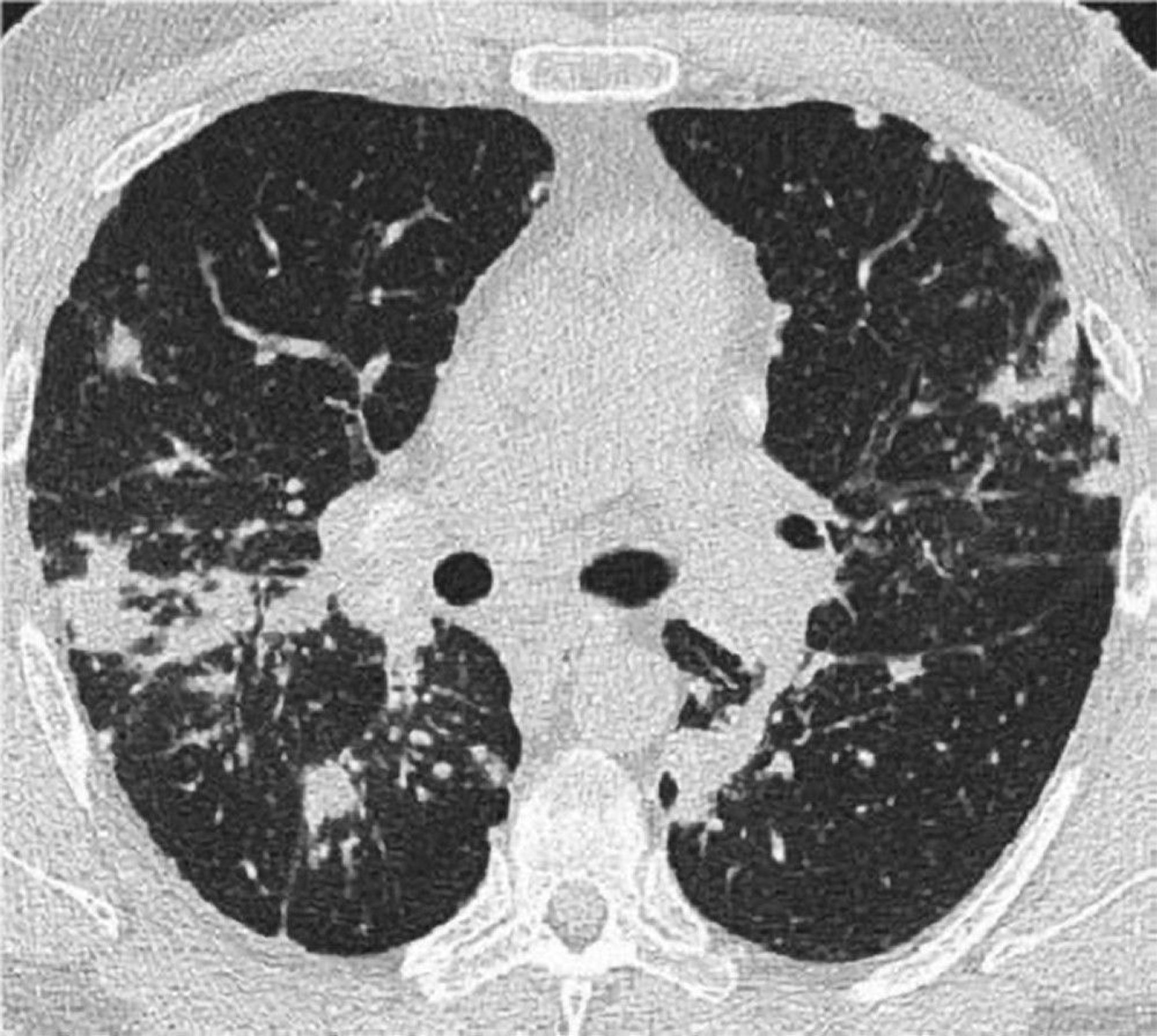
肺サルコイドーシスにおける胸部CT
この肺サルコイドーシス患者の胸部高分解能CT画像では,気管支血管束の肥厚と小葉間隔壁の数珠状変化が認められる。
Image courtesy of Birendra P.Sah, MD, FCCP.
関連するトピック
サルコイドーシス
>