honeypot link
skip to main content
プロフェッショナル版
家庭版
Msd マニュアル
プロフェッショナル版
医学事典
リソース
コラム
診察・手技ビデオ
クイズ
MSDマニュアルについて
医学事典
リソース
<
画像
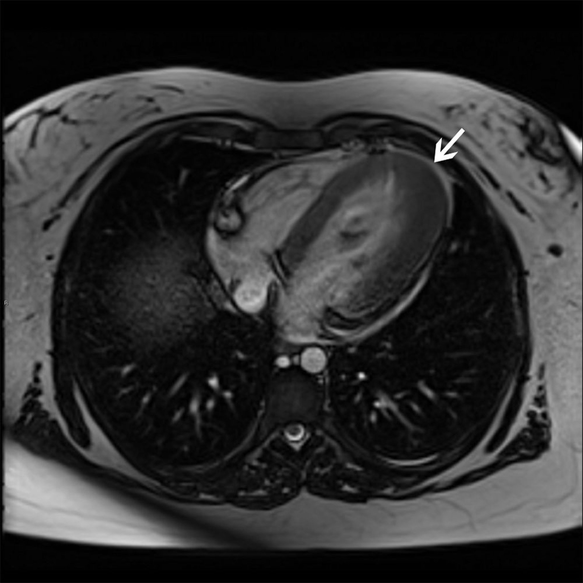
肥大型心筋症(心尖部型)
この心臓MRI画像には,心尖部肥大型の肥大型心筋症が示されている(矢印)。
© 2017 Elliot K.Fishman, MD.
関連するトピック
肥大型心筋症
>