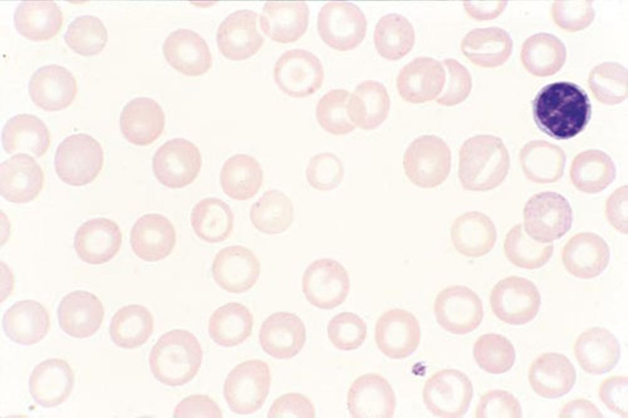
肝疾患における大赤血球症
この画像には,薬剤性ではない非栄養性の大球性貧血が示されている。楕円形になる大赤血球症とは対照的に,赤血球形態が円形であることから,赤血球膜の面積が増大する肝疾患が示唆される;標的赤血球もみられる。
By permission of the publisher.From Tefferi A, Li C.In Atlas of Clinical Hematology.Edited by JO Armitage.Philadelphia, Current Medicine, 2004.
関連するトピック
