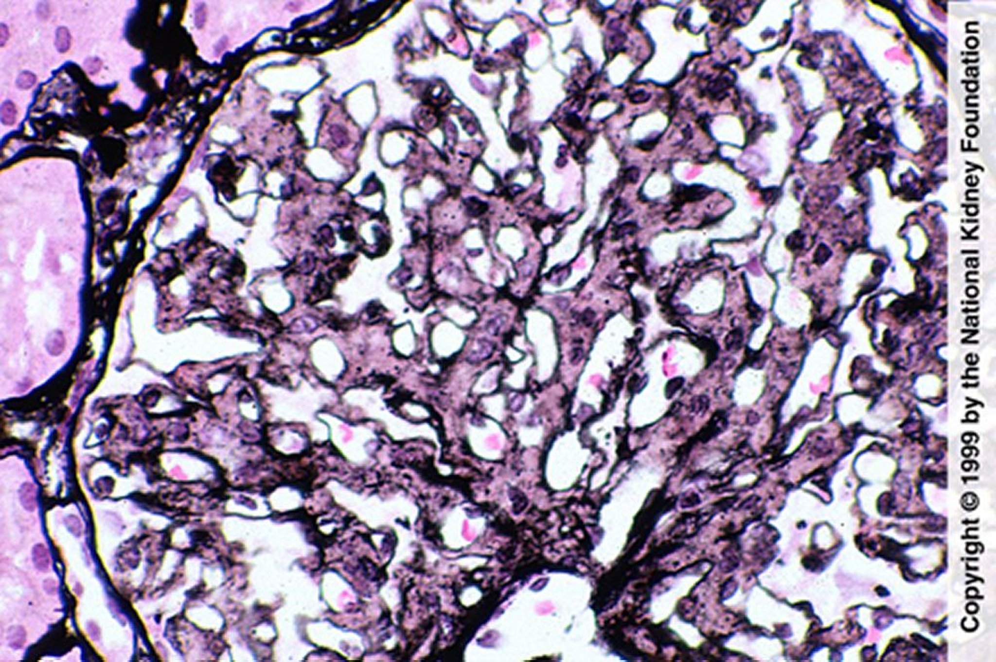
細線維性糸球体腎炎(メサンギウム増殖)
メサンギウム増殖は細線維性糸球体腎炎を示唆するが,診断にはコンゴレッド染色陰性,蛍光抗体法でのIgG染色,および電子顕微鏡で線維が認められることが必要である(PAM染色,400倍)。
Image provided by Agnes Fogo, MD, and the American Journal of Kidney Diseases' Atlas of Renal Pathology (see www.ajkd.org).
関連するトピック
メサンギウム増殖は細線維性糸球体腎炎を示唆するが,診断にはコンゴレッド染色陰性,蛍光抗体法でのIgG染色,および電子顕微鏡で線維が認められることが必要である(PAM染色,400倍)。
Image provided by Agnes Fogo, MD, and the American Journal of Kidney Diseases' Atlas of Renal Pathology (see www.ajkd.org).