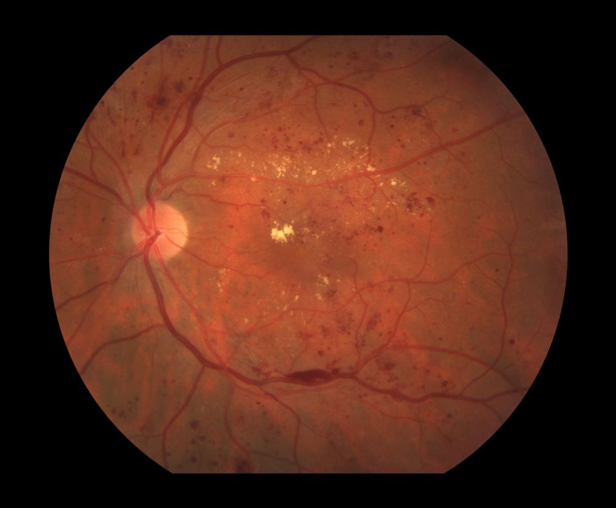
糖尿病網膜症(非増殖性)

糖尿病網膜症(非増殖性)

非増殖性糖尿病網膜症の眼底所見としては,網膜出血や硬性白斑(黄色の斑)などがある

Paul Whitten/SCIENCE PHOTO LIBRARY

関連するトピック