honeypot link
skip to main content
プロフェッショナル版
家庭版
Msd マニュアル
プロフェッショナル版
医学事典
リソース
コラム
診察・手技ビデオ
クイズ
MSDマニュアルについて
医学事典
リソース
<
画像
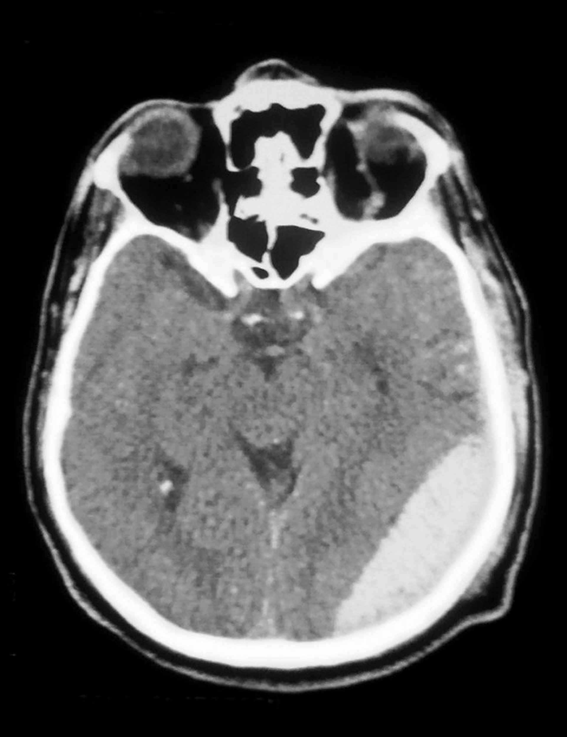
硬膜外血腫
CT上で硬膜外血腫(右下の陰影)を認める。
Cavallini James/BSIP/SCIENCE PHOTO LIBRARY
関連するトピック
外傷性脳損傷(TBI)
>