硬膜下血腫
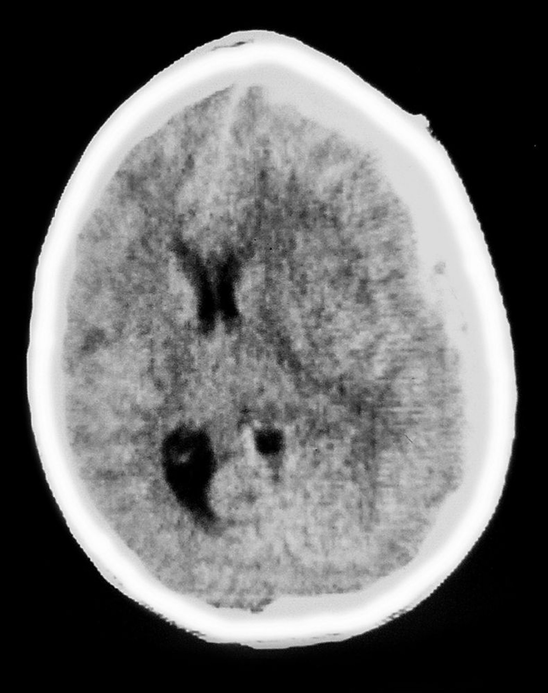
このCTには,脳組織を覆う半月状の陰影が写っている。これは硬膜下血腫の特徴である。腫瘤効果(mass effect)もみられ,脳室の圧迫および正中偏位を伴う。
Cavallini James/BSIP/SCIENCE PHOTO LIBRARY
関連するトピック
このCTには,脳組織を覆う半月状の陰影が写っている。これは硬膜下血腫の特徴である。腫瘤効果(mass effect)もみられ,脳室の圧迫および正中偏位を伴う。
Cavallini James/BSIP/SCIENCE PHOTO LIBRARY