honeypot link
skip to main content
プロフェッショナル版
家庭版
Msd マニュアル
プロフェッショナル版
医学事典
リソース
コラム
診察・手技ビデオ
クイズ
MSDマニュアルについて
医学事典
リソース
<
画像
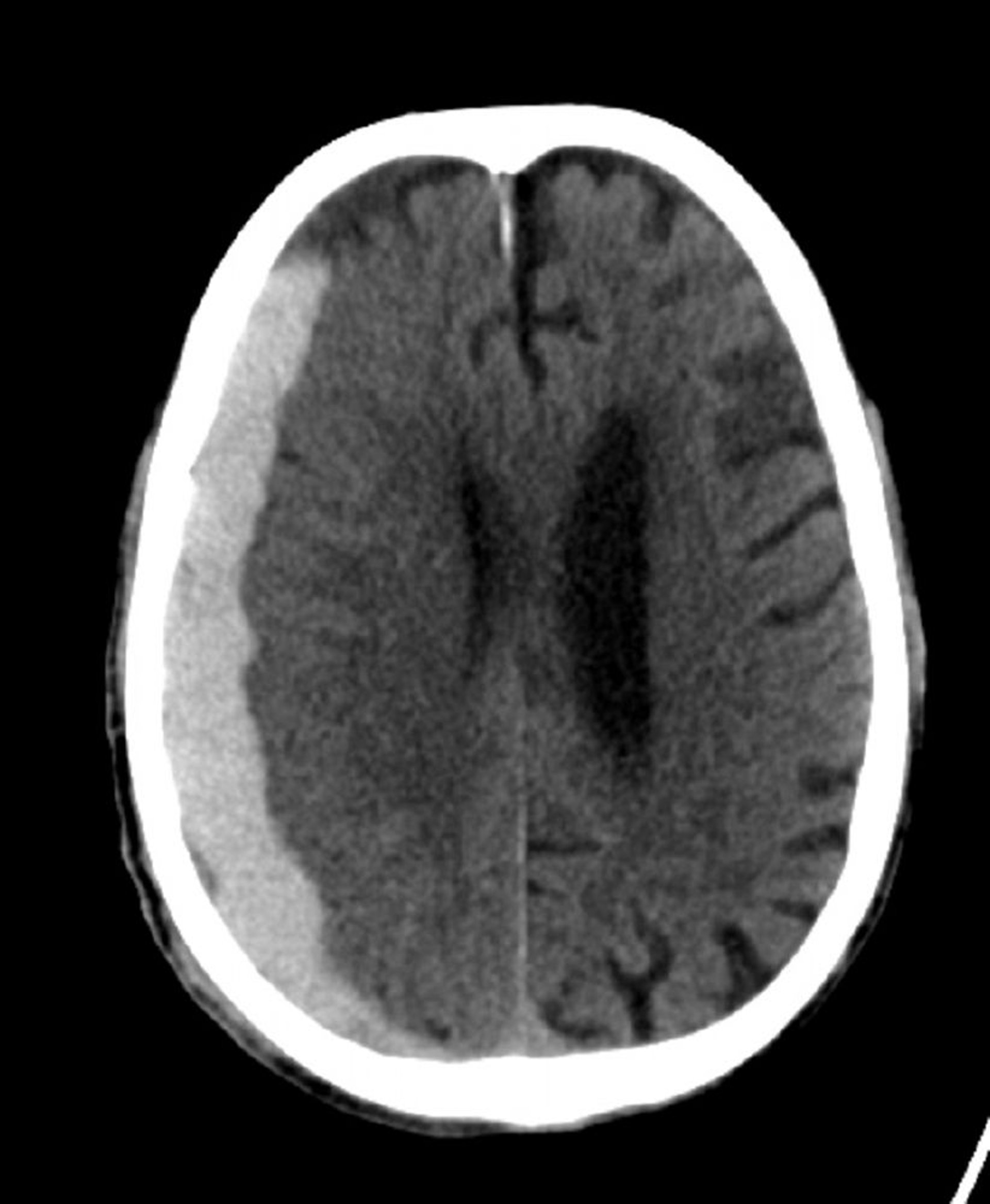
硬膜下出血(CT)
縫合線を越えて進展している古典的な三日月形の高吸収域。
© 2017 Elliot K.Fishman, MD.
関連するトピック
昏睡および意識障害の概要
>
外傷性脳損傷(TBI)
>