特発性器質化肺炎
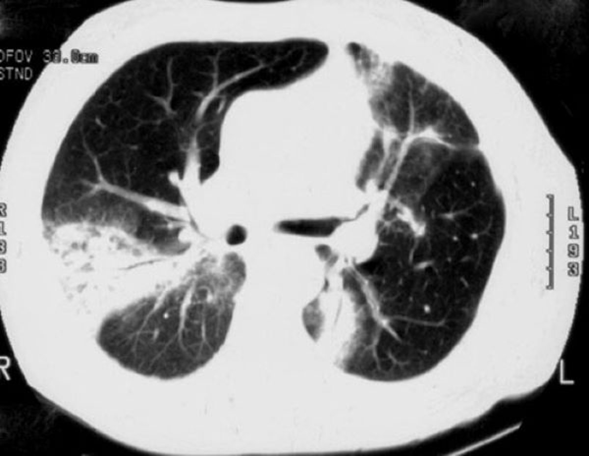
高分解能CTで,斑状の気腔の浸潤影(consolidation),すりガラス陰影,小結節状陰影,ならびに気管支壁の肥厚および拡張(air bronchogram)がみられる。
Image courtesy of Talmadge E.King, MD.
関連するトピック
高分解能CTで,斑状の気腔の浸潤影(consolidation),すりガラス陰影,小結節状陰影,ならびに気管支壁の肥厚および拡張(air bronchogram)がみられる。
Image courtesy of Talmadge E.King, MD.