honeypot link
skip to main content
プロフェッショナル版
家庭版
Msd マニュアル
プロフェッショナル版
医学事典
リソース
コラム
診察・手技ビデオ
クイズ
MSDマニュアルについて
医学事典
リソース
<
画像
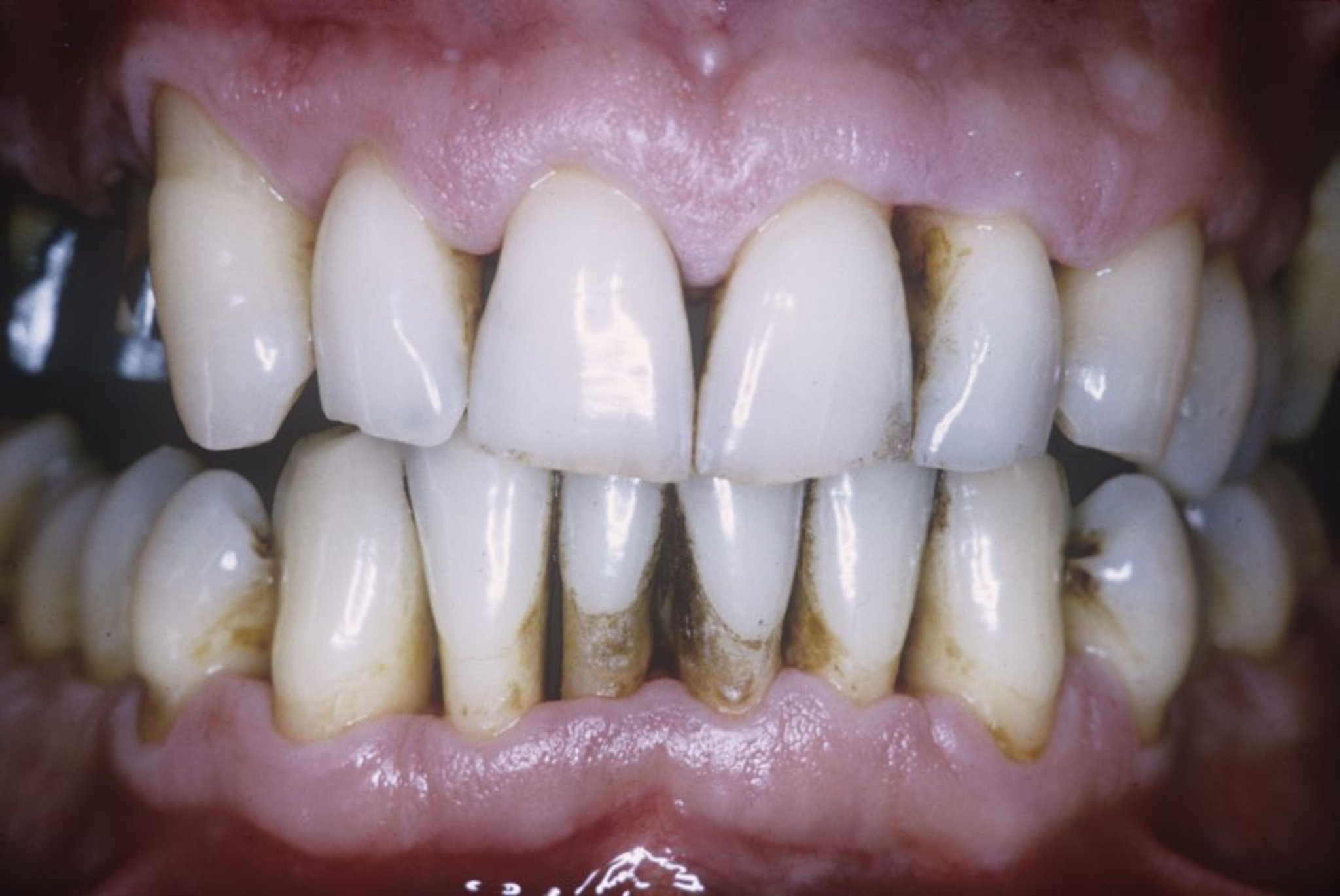
歯周炎(歯の支持組織の喪失)
この写真には,歯周病による組織の喪失の拡大像が写っている。歯周病により歯の周囲の歯肉と骨の喪失が生じている。
Dr. W.GREEN/CNRI/SCIENCE PHOTO LIBRARY
関連するトピック
歯周炎
>