honeypot link
skip to main content
プロフェッショナル版
家庭版
Msd マニュアル
プロフェッショナル版
医学事典
リソース
コラム
診察・手技ビデオ
クイズ
MSDマニュアルについて
医学事典
リソース
<
画像
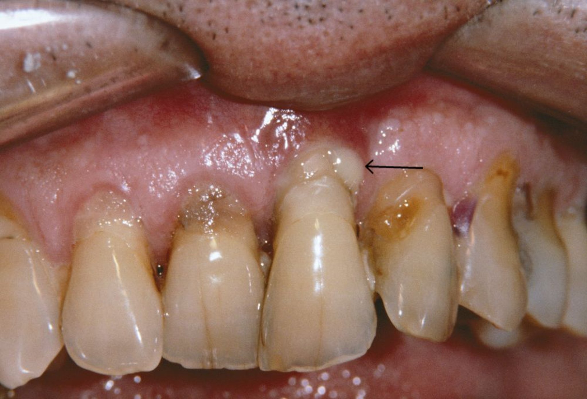
歯周炎
この写真には,歯周炎患者の退縮している歯肉および歯周膿瘍(矢印)が写っている。
CNRI/SCIENCE PHOTO LIBRARY
関連するトピック
歯周炎
>