正常な頭部CT(成人,74歳)―スライド2

正常な頭部CT(成人,74歳)―スライド2

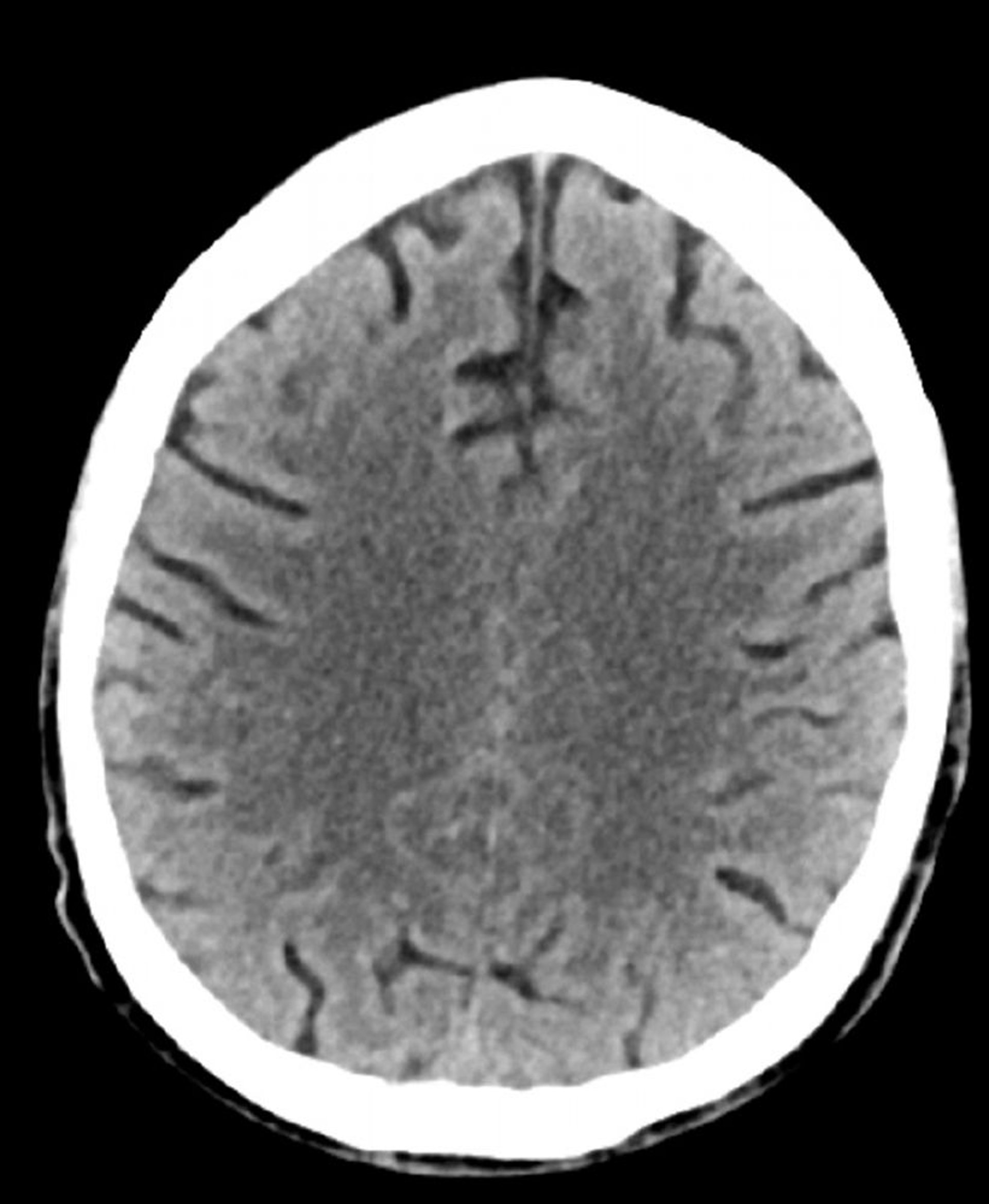
これは74歳成人の正常な頭部CT画像である。30歳の正常な頭部CT画像と比較すると,脳溝がより大きくなっている。これらの所見はこの年齢層では正常である。

© 2017 Elliot K.Fishman, MD.

関連するトピック