正常な頭部CT(成人,30歳)―スライド6
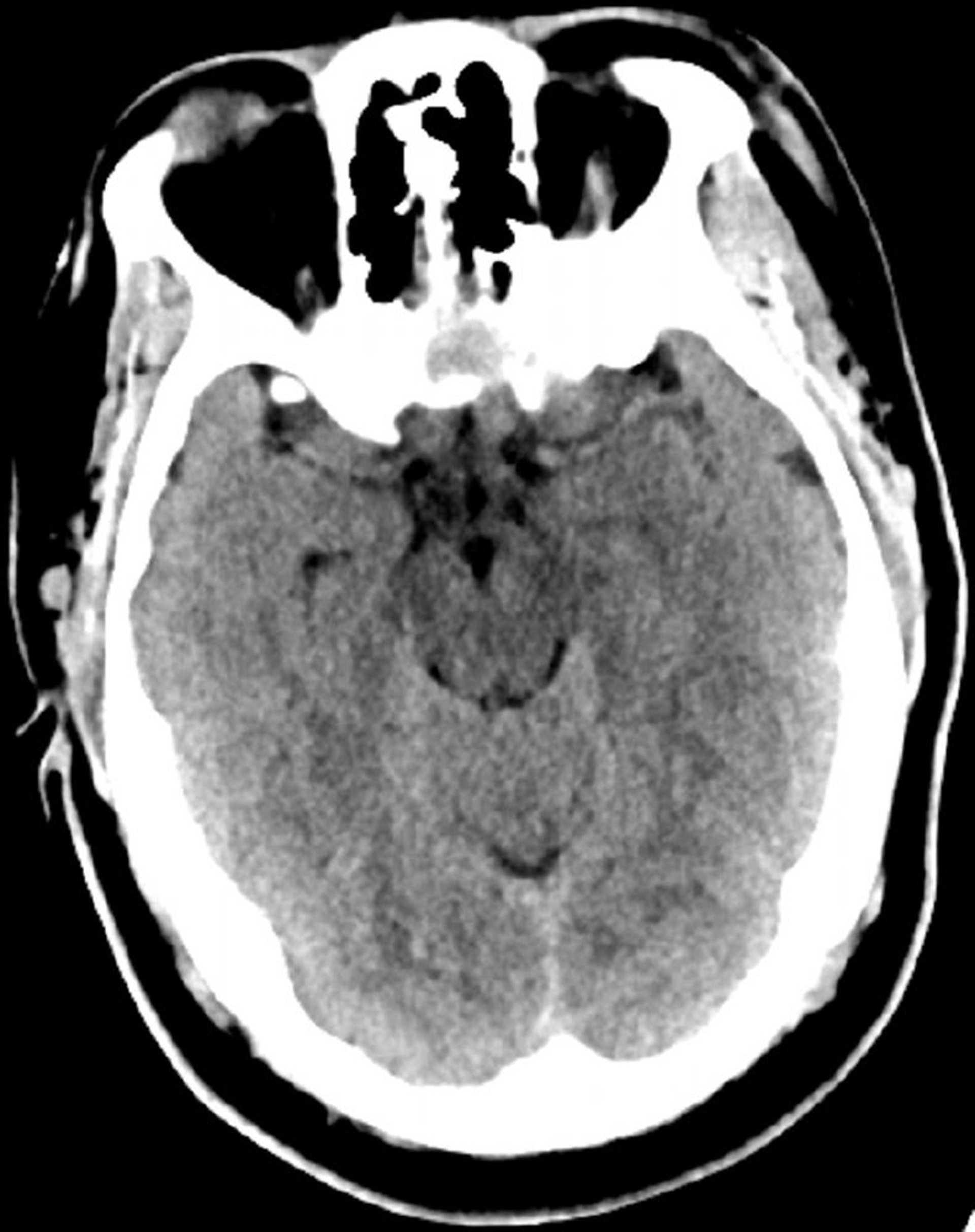
これは30歳の若年成人の正常な頭部CT画像である。脳実質の内外に髄液や出血はみられない。白質と灰白質の区別は維持されている。脳室の大きさと脳溝のパターンは正常である。
© 2017 Elliot K.Fishman, MD.
関連するトピック
これは30歳の若年成人の正常な頭部CT画像である。脳実質の内外に髄液や出血はみられない。白質と灰白質の区別は維持されている。脳室の大きさと脳溝のパターンは正常である。
© 2017 Elliot K.Fishman, MD.