honeypot link
skip to main content
  • フォローしてください facebook
  • フォローしてください Youtube
MSDMsd マニュアルプロフェッショナル版
医学事典リソースコラム診察・手技ビデオクイズMSDマニュアルについて
home医学事典リソース
Search icon
  1. <画像
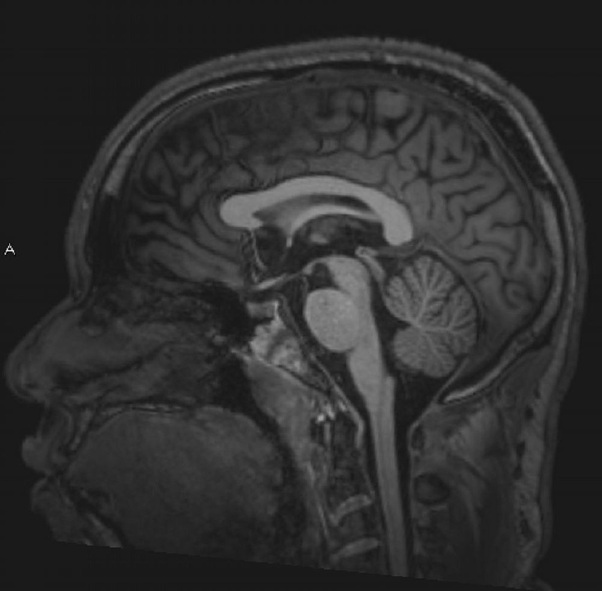
    正常な脳MRI画像(矢状断像)―スライド4

    正常な脳MRI画像(矢状断像)―スライド4

    関連するトピック
    • 神経疾患におけるMRI >
    MSD
    MSDとMSD Manualについて
    • MSDマニュアルについて
    • 免責事項
    • 二次利用許諾
    • プライバシー
    • ご利用条件
    • 連絡先
    • ライセンス
    • 獣医マニュアル(英語版)
    • フォローしてください facebook
    • フォローしてください Youtube
    This icon serves as a link to download the eSSENTIAL Accessibility assistive technology app for individuals with physical disabilities. It is featured as part of our commitment to diversity and inclusion.
    • フォローしてください facebook
    • フォローしてください Youtube
    This icon serves as a link to download the eSSENTIAL Accessibility assistive technology app for individuals with physical disabilities. It is featured as part of our commitment to diversity and inclusion.
    MSD

    Copyright© 2026Merck & Co., Inc., Rahway, NJ, USA and its affiliates. All rights reserved.