honeypot link
skip to main content
プロフェッショナル版
家庭版
Msd マニュアル
プロフェッショナル版
医学事典
リソース
コラム
診察・手技ビデオ
クイズ
MSDマニュアルについて
医学事典
リソース
<
画像
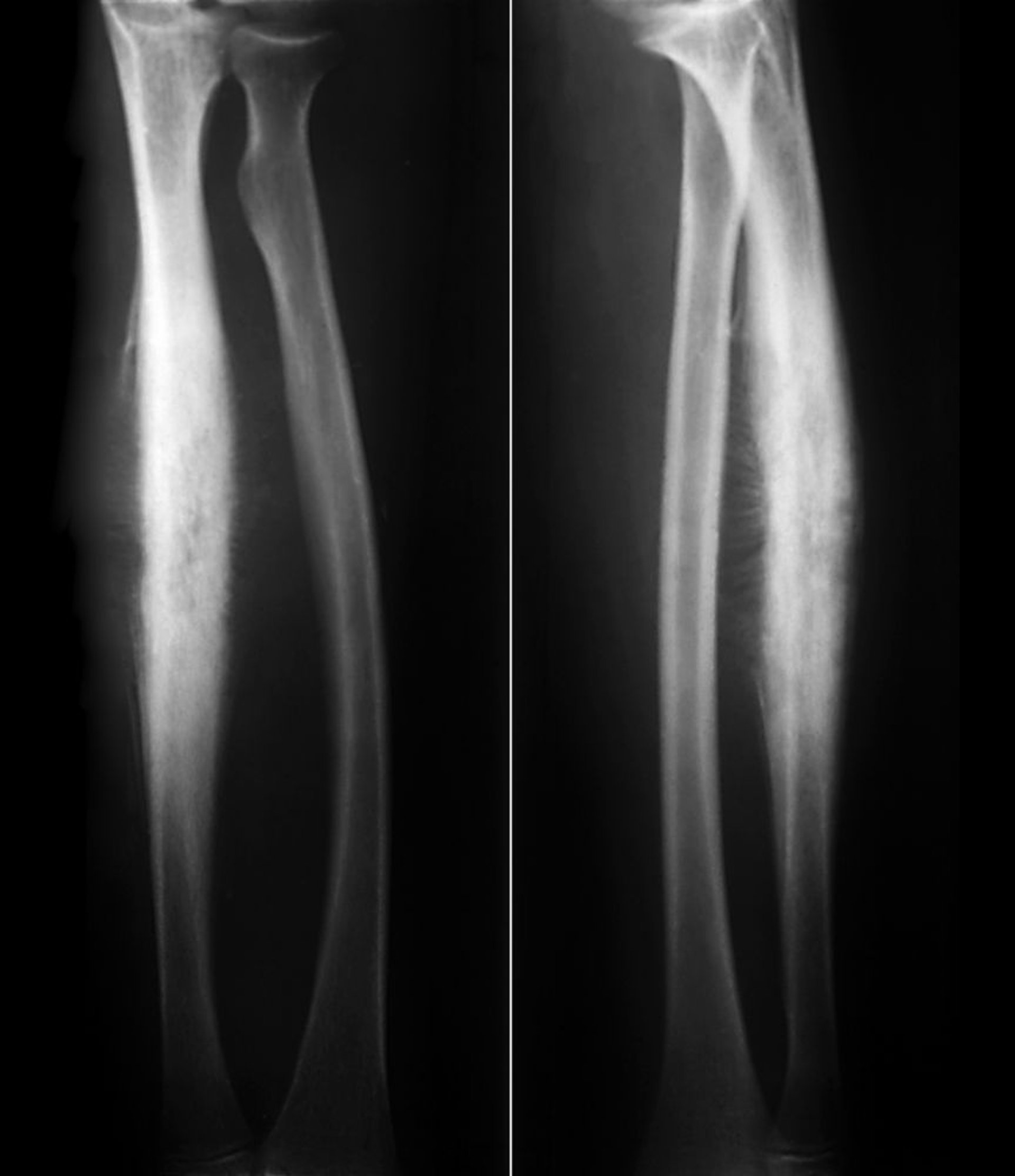
橈骨のユーイング肉腫
この橈骨骨幹部のユーイング肉腫は,骨膜下の反応性骨新生およびある程度の骨融解性の破壊像を示している。
ZEPHYR/SCIENCE PHOTO LIBRARY
関連するトピック
原発性悪性骨腫瘍
>