honeypot link
skip to main content
プロフェッショナル版
家庭版
Msd マニュアル
プロフェッショナル版
医学事典
リソース
コラム
診察・手技ビデオ
クイズ
MSDマニュアルについて
医学事典
リソース
<
画像
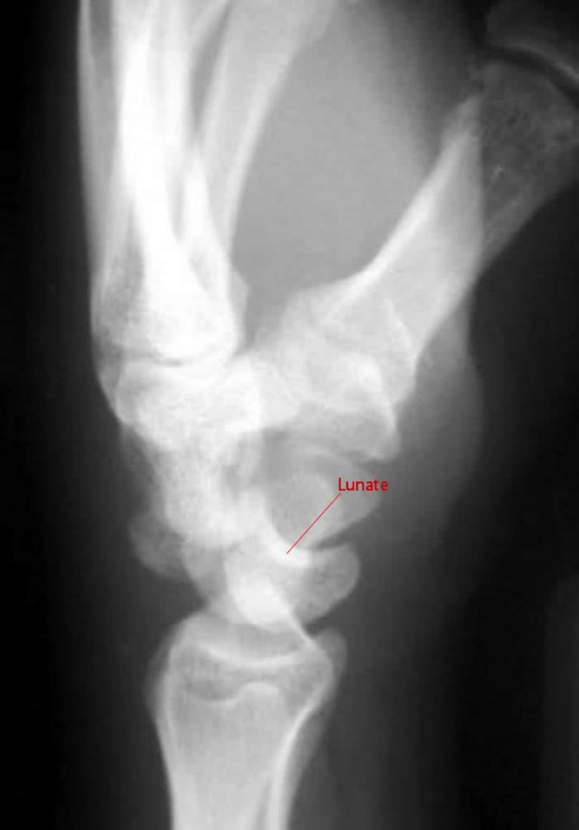
月状骨周囲の脱臼
月状骨周囲脱臼の側面像では,有頭骨は月状骨とつながっていない。
Image courtesy of Danielle Campagne, MD.
関連するトピック
月状骨周囲脱臼および月状骨脱臼
>