慢性歯周炎

慢性歯周炎

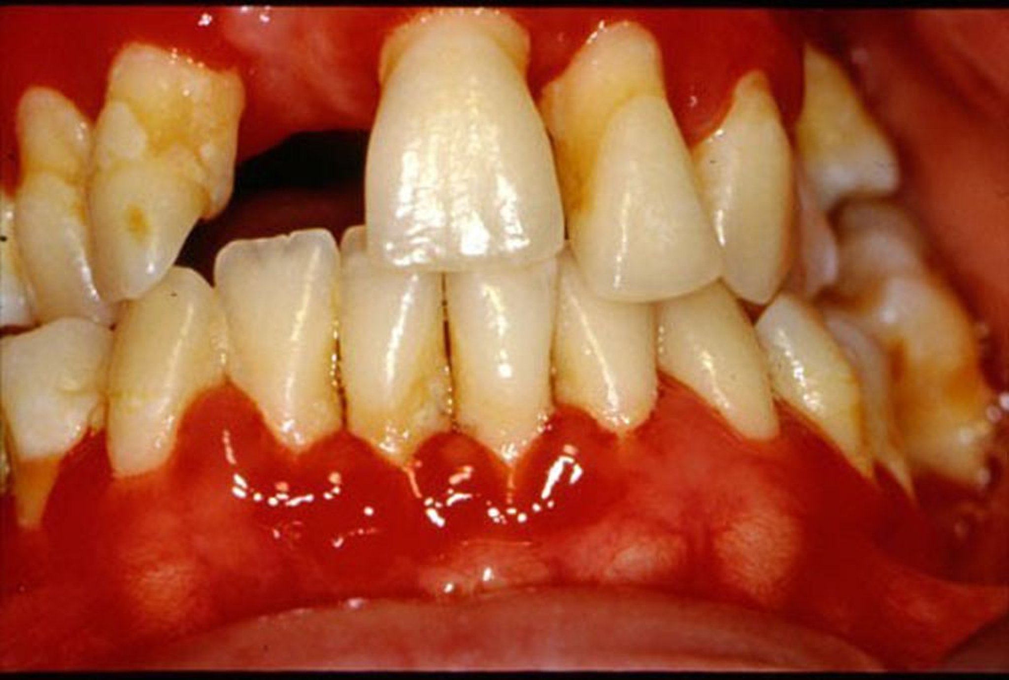
この写真には,プラークによって引き起こされた軟組織の慢性の炎症により歯肉および支持骨の喪失,歯の移動,ならびに歯の喪失が生じた様子が写っている。

Image provided by Jonathan A.Ship, DMD.

関連するトピック