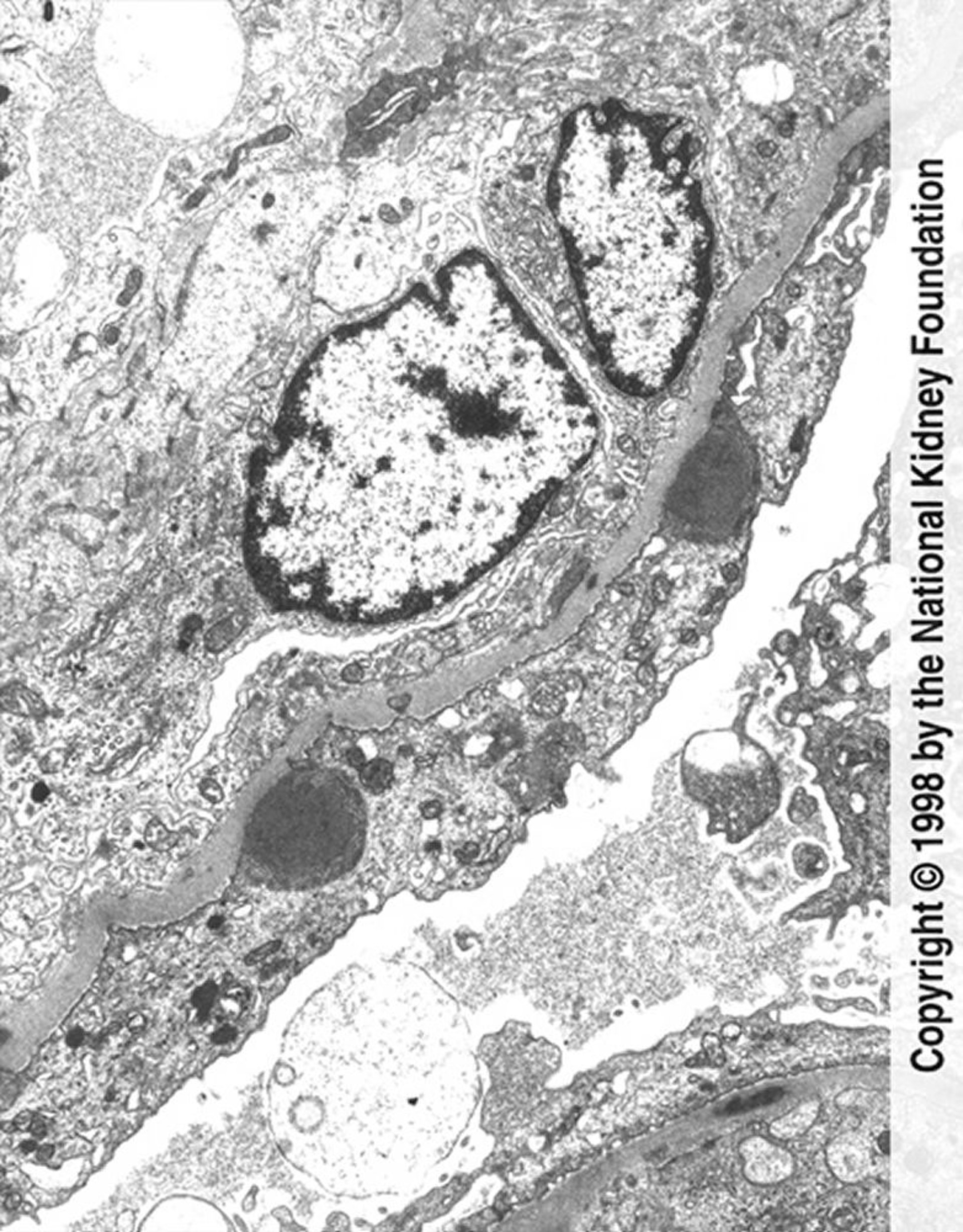
感染後糸球体腎炎(免疫複合体沈着)
広範な足突起の消失および管内増殖を伴うコブ状の免疫複合体沈着(暗灰色)が,透過型電子顕微鏡で示されている(11,250倍)。
Image provided by Agnes Fogo, MD, and the American Journal of Kidney Diseases' Atlas of Renal Pathology (see www.ajkd.org).
関連するトピック
広範な足突起の消失および管内増殖を伴うコブ状の免疫複合体沈着(暗灰色)が,透過型電子顕微鏡で示されている(11,250倍)。
Image provided by Agnes Fogo, MD, and the American Journal of Kidney Diseases' Atlas of Renal Pathology (see www.ajkd.org).