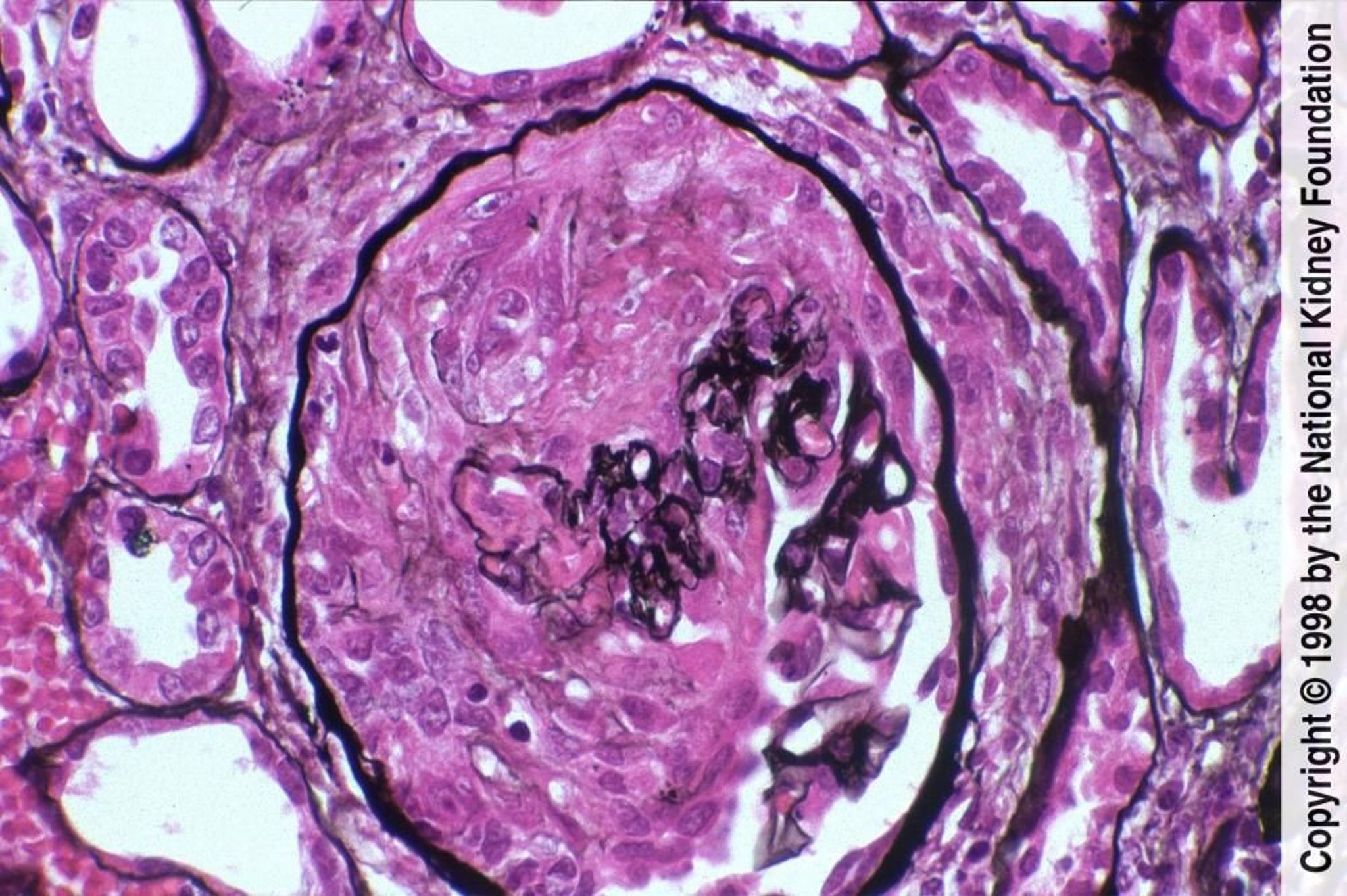
急速進行性糸球体腎炎(pauci-Immune型)
pauci-immune型の特徴は,フィブリノイド壊死を伴う半月体形成および蛍光抗体染色法で陰性となることである(PAM染色,400倍)。
Image provided by Agnes Fogo, MD, and the American Journal of Kidney Diseases' Atlas of Renal Pathology (see www.ajkd.org).
関連するトピック
pauci-immune型の特徴は,フィブリノイド壊死を伴う半月体形成および蛍光抗体染色法で陰性となることである(PAM染色,400倍)。
Image provided by Agnes Fogo, MD, and the American Journal of Kidney Diseases' Atlas of Renal Pathology (see www.ajkd.org).