honeypot link
skip to main content
プロフェッショナル版
家庭版
Msd マニュアル
プロフェッショナル版
医学事典
リソース
コラム
診察・手技ビデオ
クイズ
MSDマニュアルについて
医学事典
リソース
<
画像
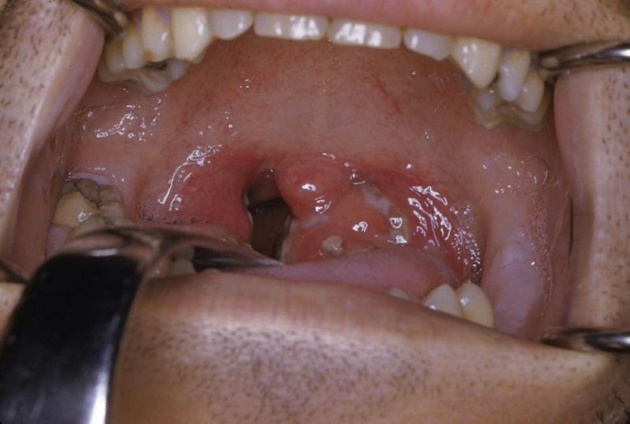
急性扁桃炎
この写真には,滲出液と発赤を伴う急性扁桃炎が写っている。
Photo provided by Clarence T.Sasaki, MD.
関連するトピック
扁桃咽頭炎
>