honeypot link
skip to main content
プロフェッショナル版
家庭版
Msd マニュアル
プロフェッショナル版
医学事典
リソース
コラム
診察・手技ビデオ
クイズ
MSDマニュアルについて
医学事典
リソース
<
画像
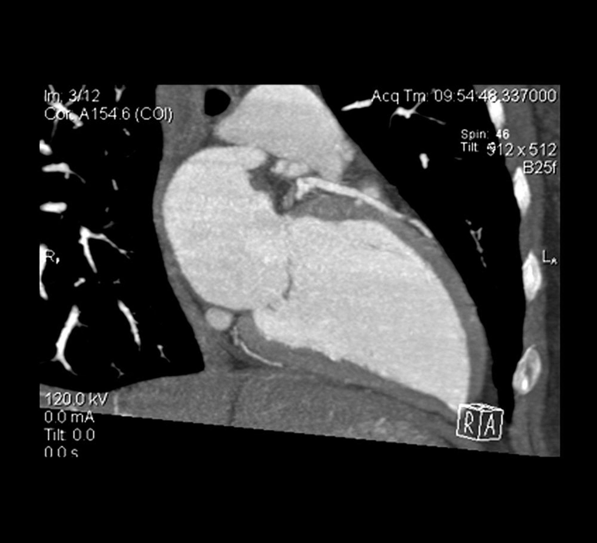
心血管造影CT
心血管造影CTの断層像に左室および左前下行枝が写っている。
LIVING ART ENTERPRISES, LLC/SCIENCE PHOTO LIBRARY
関連するトピック
心臓画像検査
>