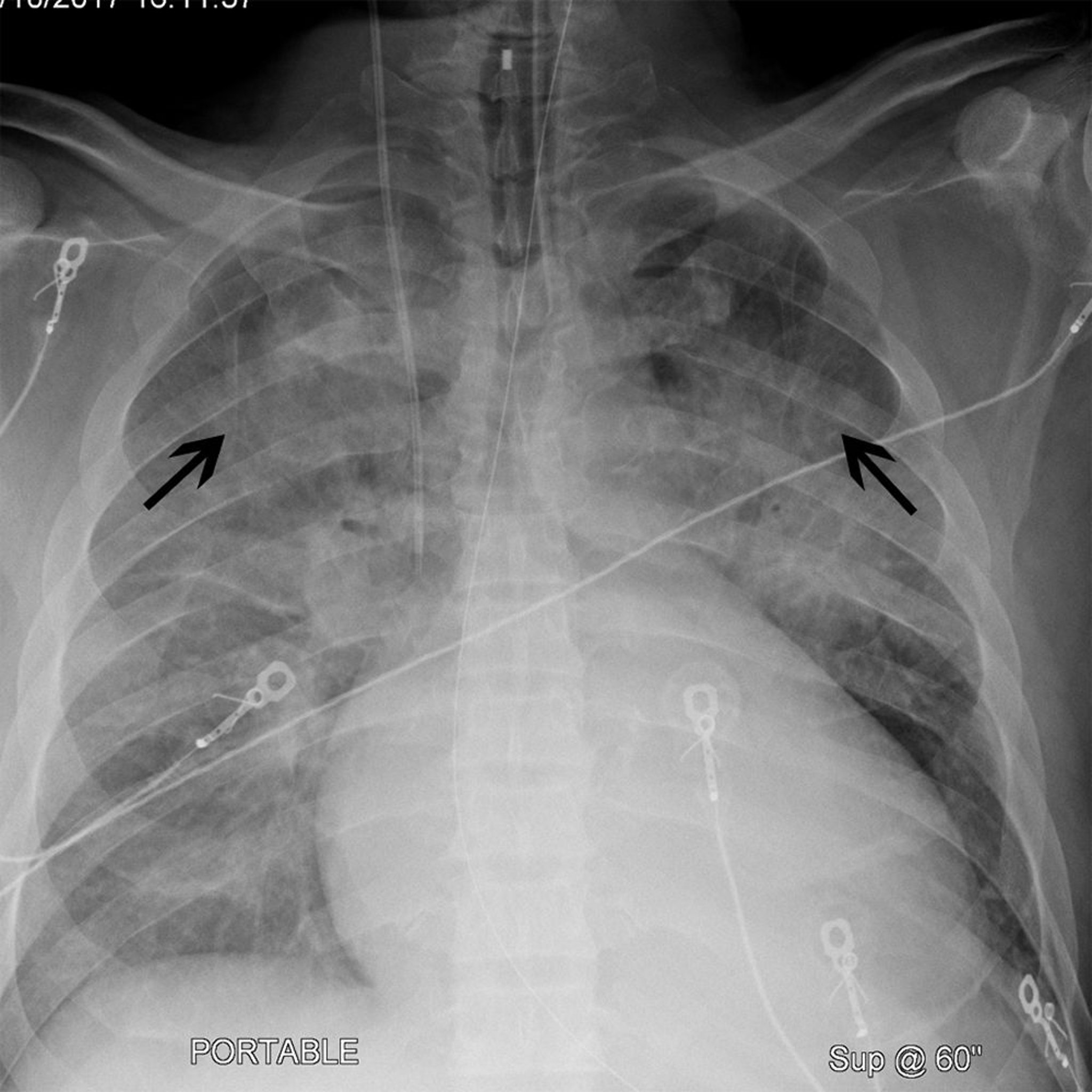
心拡大とcephalization(角出し像)を認める胸部X線写真
この患者には心拡大がみられる(胸部X線後前像で心陰影の幅が胸郭の50%を超えている)。Cephalization(角出し像)(黒矢印)もみられ,これにより上葉の肺血管がより顕著になっている。これらの所見は心不全患者でしばしば認められる。
© 2017 Elliot K.Fishman, MD.
関連するトピック
この患者には心拡大がみられる(胸部X線後前像で心陰影の幅が胸郭の50%を超えている)。Cephalization(角出し像)(黒矢印)もみられ,これにより上葉の肺血管がより顕著になっている。これらの所見は心不全患者でしばしば認められる。
© 2017 Elliot K.Fishman, MD.