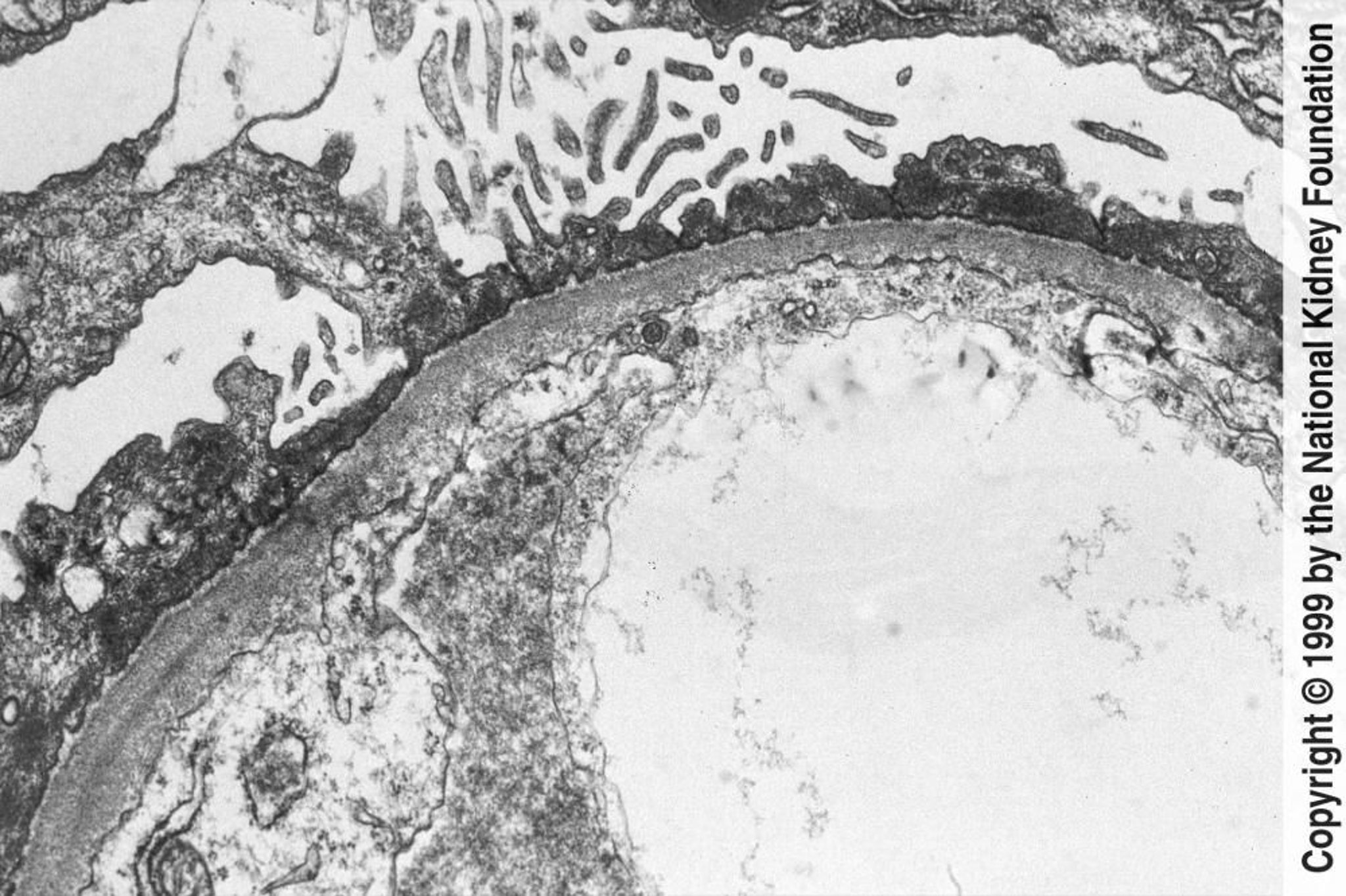
微小変化群
透過型電子顕微鏡で,足突起のびまん性の消失が観察できる(800倍)。
Image provided by Agnes Fogo, MD, and the American Journal of Kidney Diseases' Atlas of Renal Pathology (see www.ajkd.org).
関連するトピック
透過型電子顕微鏡で,足突起のびまん性の消失が観察できる(800倍)。
Image provided by Agnes Fogo, MD, and the American Journal of Kidney Diseases' Atlas of Renal Pathology (see www.ajkd.org).