honeypot link
skip to main content
プロフェッショナル版
家庭版
Msd マニュアル
プロフェッショナル版
医学事典
リソース
コラム
診察・手技ビデオ
クイズ
MSDマニュアルについて
医学事典
リソース
<
画像
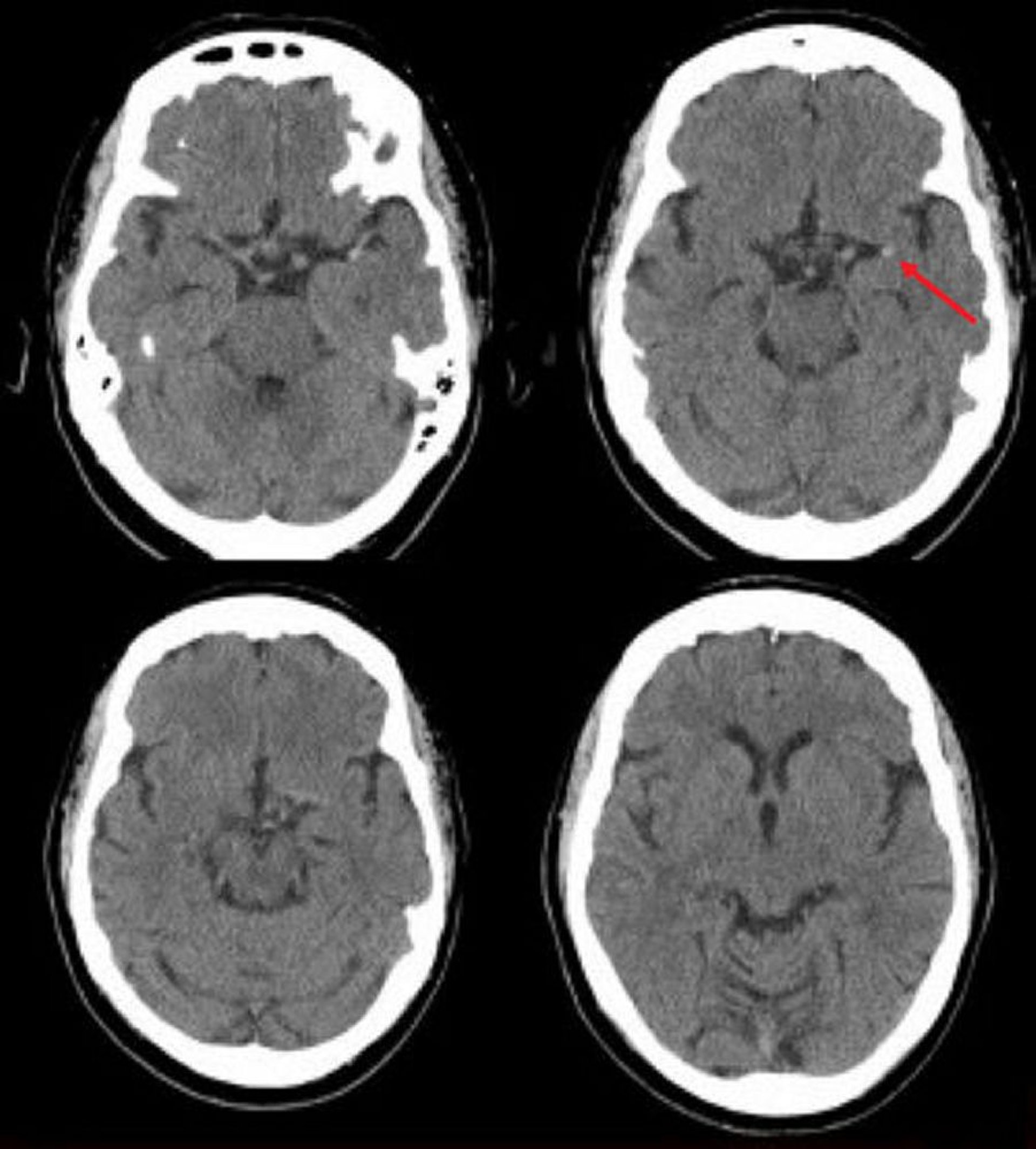
左中大脳動脈の虚血性脳卒中(CT)
この頭部単純CTでは,左中大脳動脈に高吸収域が認められる。この所見は左中大脳動脈の局所的な血栓(矢印)を示唆する。
Image courtesy of Ji Y.Chong, MD.
関連するトピック
脳卒中の概要
>
虚血性脳卒中
>