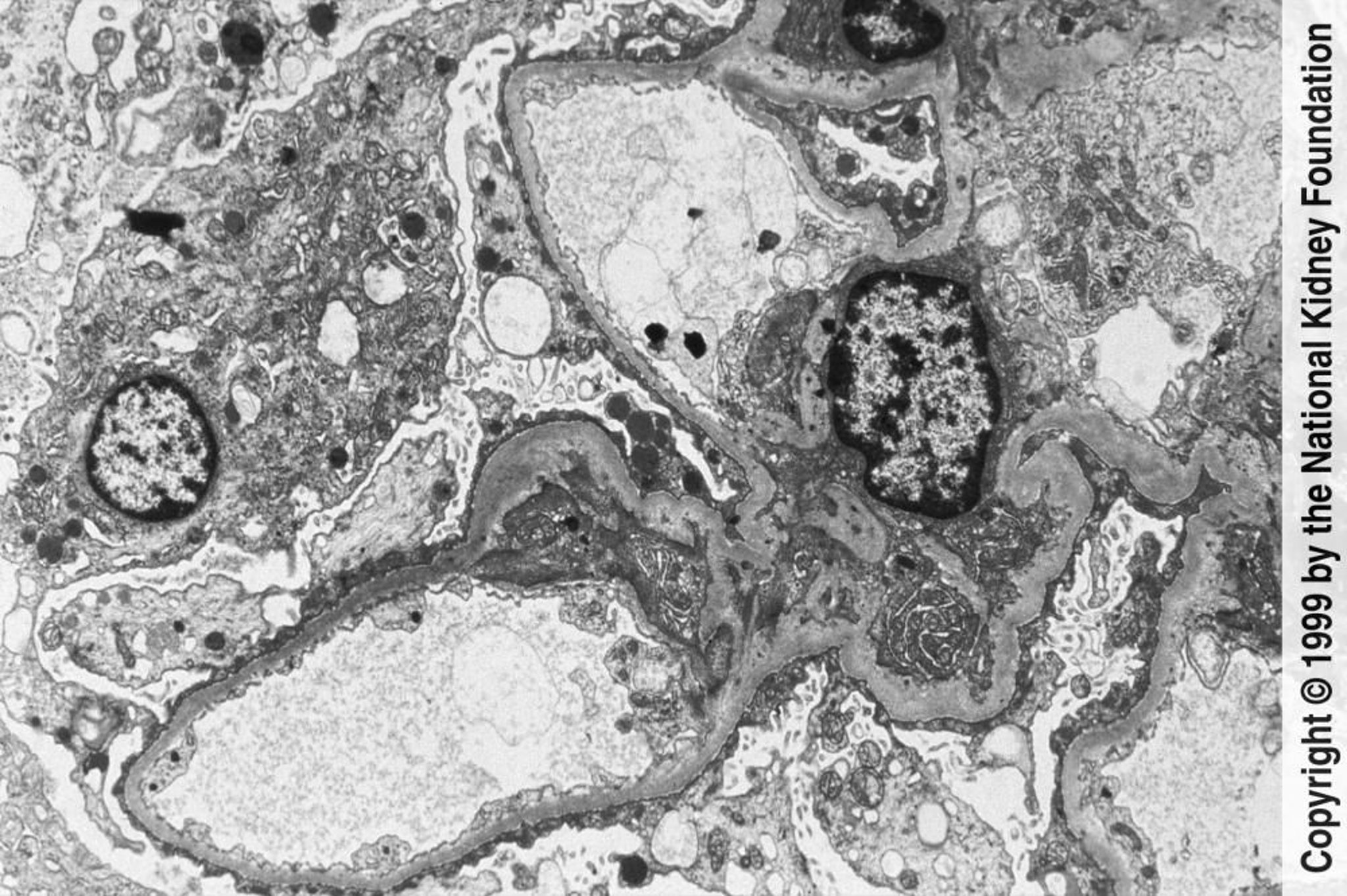
巣状分節性糸球体硬化症(足突起の鈍化および消失)
透過型電子顕微鏡下で足突起の広範な鈍化および消失が認められる(3000倍)。
Image provided by Agnes Fogo, MD, and the American Journal of Kidney Diseases' Atlas of Renal Pathology (see www.ajkd.org).
関連するトピック
透過型電子顕微鏡下で足突起の広範な鈍化および消失が認められる(3000倍)。
Image provided by Agnes Fogo, MD, and the American Journal of Kidney Diseases' Atlas of Renal Pathology (see www.ajkd.org).