巣状分節性糸球体硬化症
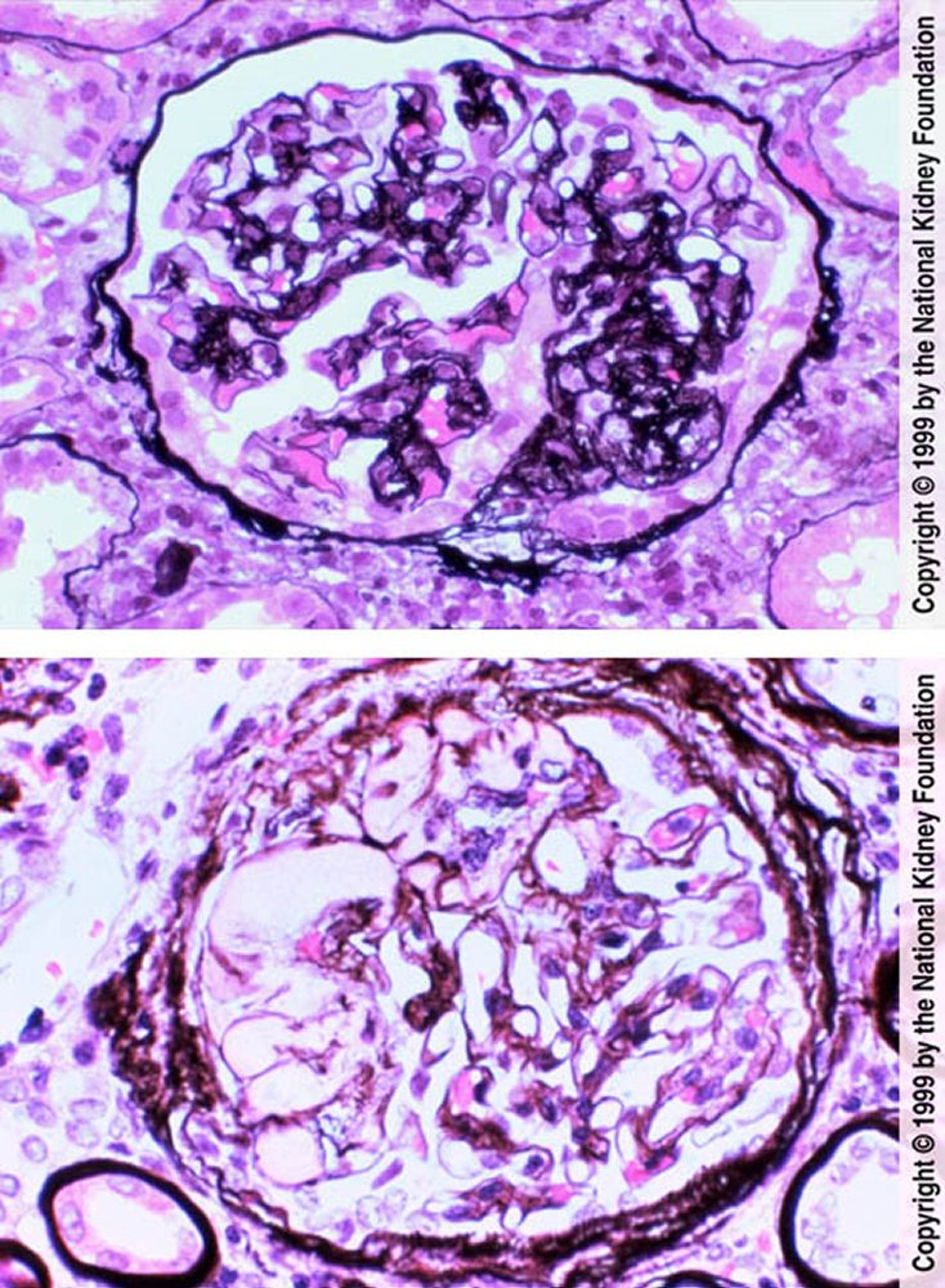
上の画像は糸球体の右側を示している。糸球体は分節性に硬化しており,内腔が消失した毛細血管および増加したメサンギウム基質で構成されている。残りの糸球体は正常である(PAM染色,400倍)。下の画像では,滑らかな硝子様物質と定義されるヒアリンが,血漿タンパク質の壁内滲出(壁外への滲出の逆)によりもたらされている。これは高頻度に発生し,診断に有用ではない(PAM染色,400倍)。
Image provided by Agnes Fogo, MD, and the American Journal of Kidney Diseases' Atlas of Renal Pathology (see www.ajkd.org).
関連するトピック
