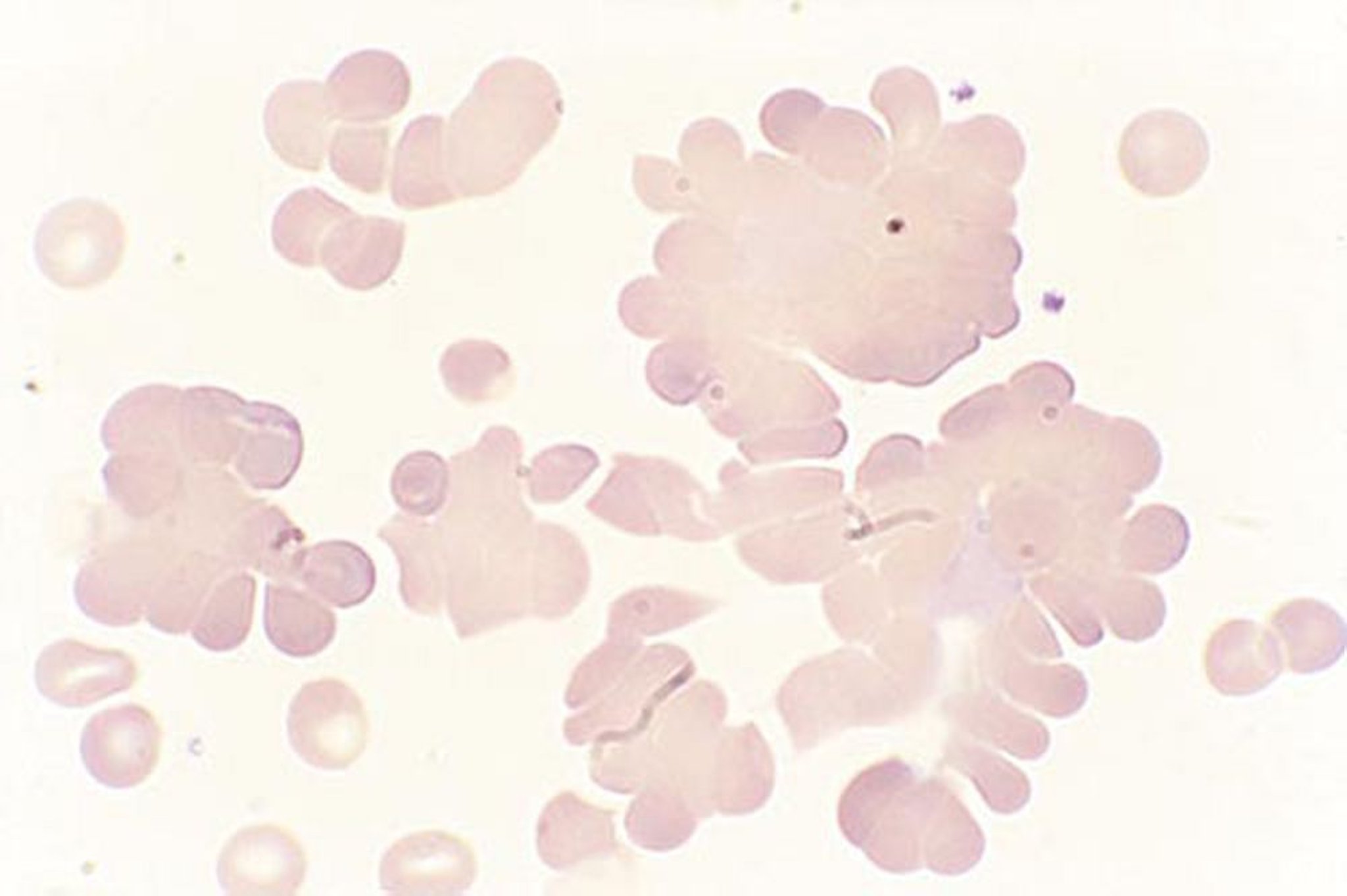
寒冷凝集素症における赤血球凝集
By permission of the publisher.From Tefferi A, Li C.In Atlas of Clinical Hematology.Edited by JO Armitage.Philadelphia, Current Medicine, 2004.
関連するトピック
By permission of the publisher.From Tefferi A, Li C.In Atlas of Clinical Hematology.Edited by JO Armitage.Philadelphia, Current Medicine, 2004.