honeypot link
skip to main content
プロフェッショナル版
家庭版
Msd マニュアル
プロフェッショナル版
医学事典
リソース
コラム
診察・手技ビデオ
クイズ
MSDマニュアルについて
医学事典
リソース
<
画像
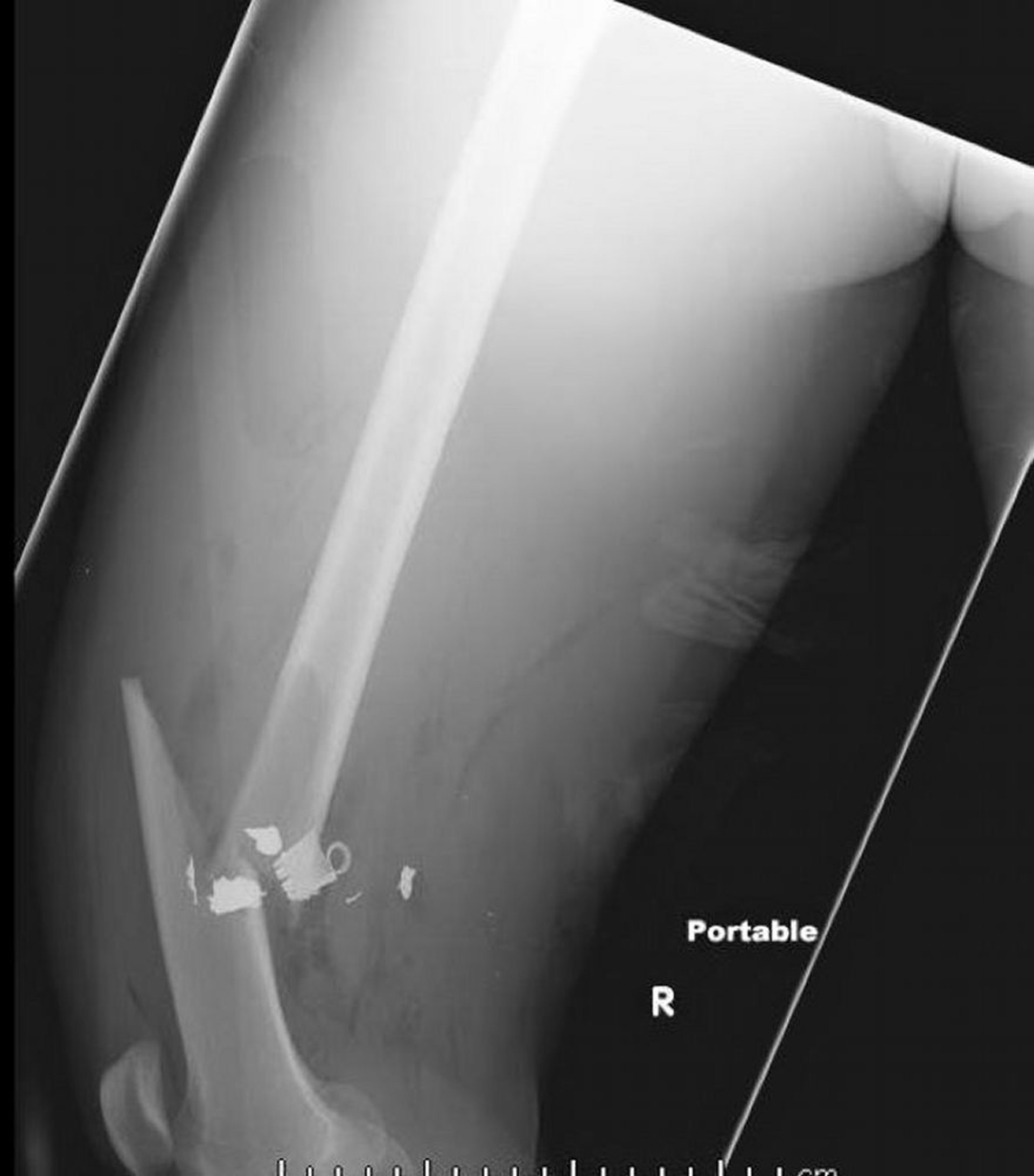
大腿骨骨幹部骨折(2)
この大腿骨のX線側面像には,軟部組織内の空気と金属異物の残存を伴った大腿骨骨幹部骨折が写っている。
Image courtesy of Danielle Campagne, MD.
関連するトピック
骨折の概要
>