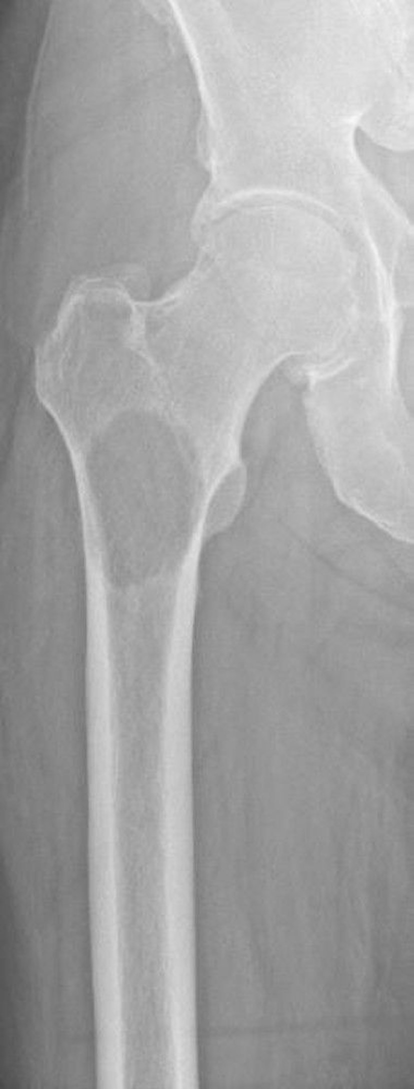
大腿骨近位部の溶骨性転移
この画像には,腎細胞癌に続発した転移により大腿骨近位部に発生した骨破壊が写っている。骨破壊の部位および範囲により,骨折のリスクが極めて高くなる(切迫骨折)。
Image courtesy of Michael J.Joyce, MD, and David M.Joyce, MD.
関連するトピック
この画像には,腎細胞癌に続発した転移により大腿骨近位部に発生した骨破壊が写っている。骨破壊の部位および範囲により,骨折のリスクが極めて高くなる(切迫骨折)。
Image courtesy of Michael J.Joyce, MD, and David M.Joyce, MD.