大脳鎌下ヘルニア
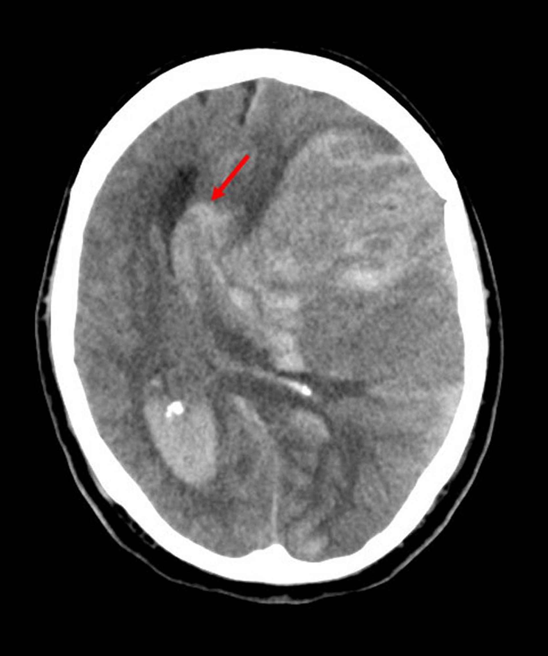
大脳鎌下ヘルニアは,最も頻度の高い脳ヘルニアの一種である。この画像では,左脳が大脳鎌の自由縁下に脱出しており(矢印),これは中大脳動脈の梗塞に起因する出血により脳内圧が上昇したことによる。
© 2017 Elliot K.Fishman, MD.
関連するトピック
大脳鎌下ヘルニアは,最も頻度の高い脳ヘルニアの一種である。この画像では,左脳が大脳鎌の自由縁下に脱出しており(矢印),これは中大脳動脈の梗塞に起因する出血により脳内圧が上昇したことによる。
© 2017 Elliot K.Fishman, MD.