honeypot link
skip to main content
プロフェッショナル版
家庭版
Msd マニュアル
プロフェッショナル版
医学事典
リソース
コラム
診察・手技ビデオ
クイズ
MSDマニュアルについて
医学事典
リソース
<
画像
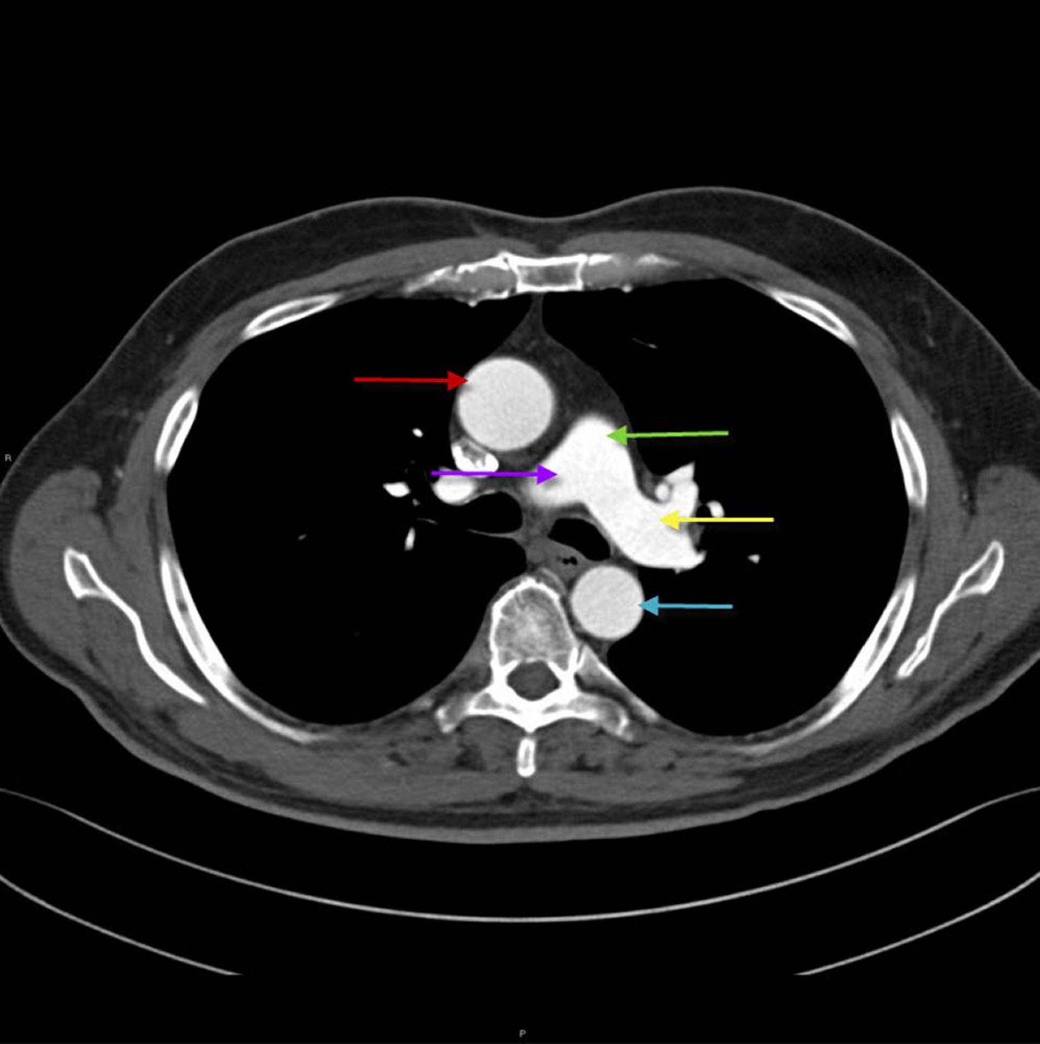
大動脈と肺動脈の構造を示した胸部CT画像
この画像には,胸部の上行大動脈(赤矢印)と下行大動脈が写っている。肺動脈幹(緑矢印)は右(紫矢印)と左(黄色矢印)の肺動脈に分岐する。
© 2017 Elliot K.Fishman, MD.
関連するトピック
大動脈瘤の概要
>