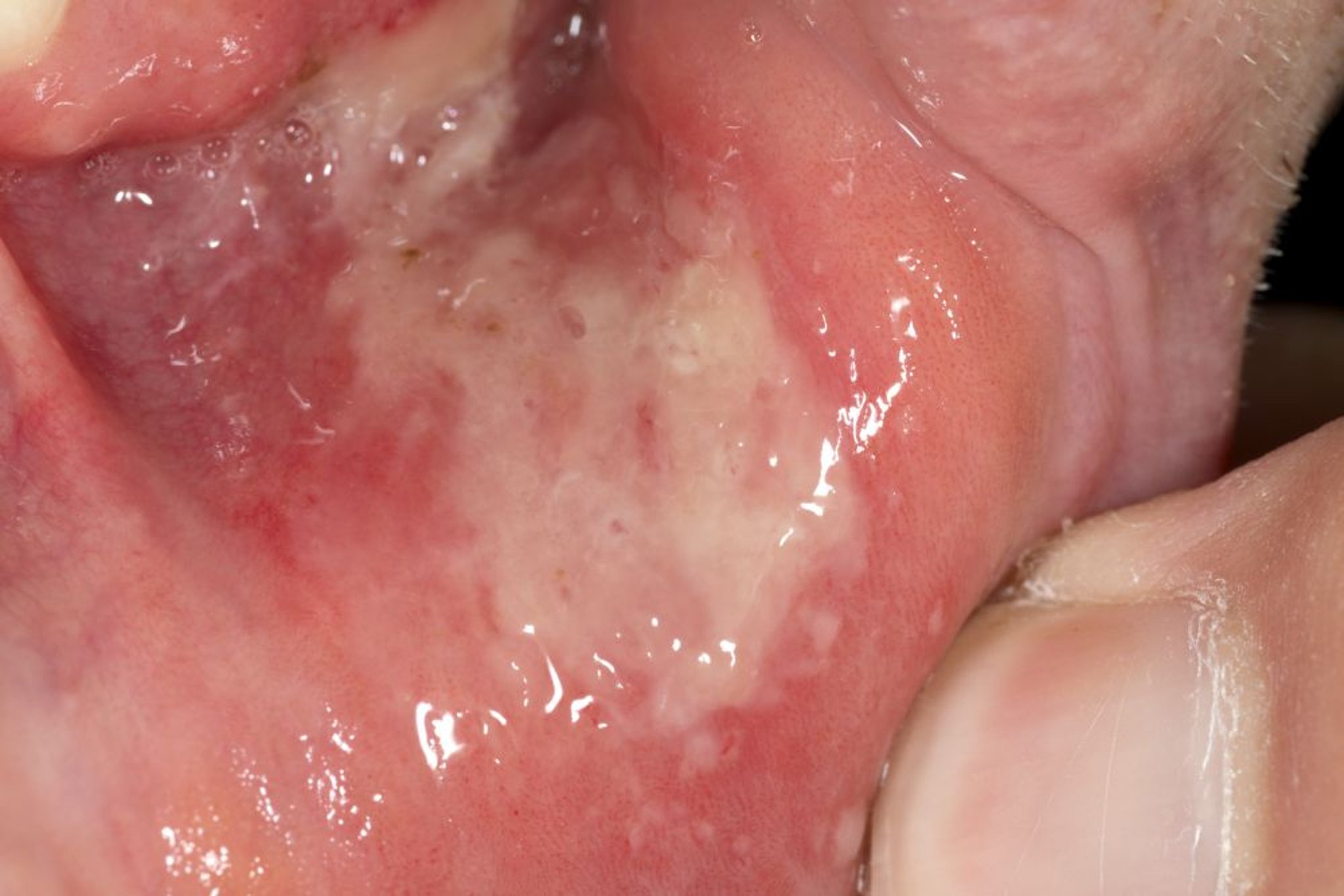
大アフタ性潰瘍

大アフタ性潰瘍

この写真には,口唇の内側に生じた大アフタ性潰瘍(白色の領域)が写っている。

DR P.MARAZZI/SCIENCE PHOTO LIBRARY

関連するトピック