honeypot link
skip to main content
プロフェッショナル版
家庭版
Msd マニュアル
プロフェッショナル版
医学事典
リソース
コラム
診察・手技ビデオ
クイズ
MSDマニュアルについて
医学事典
リソース
<
画像
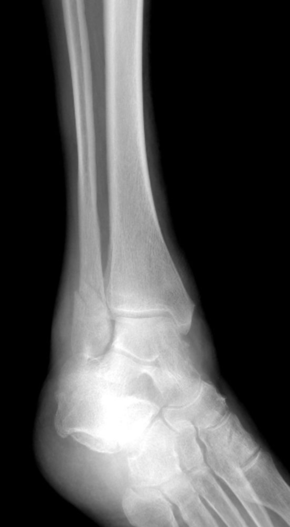
外果骨折
この足関節骨折は外果に及んでいるが,内果には及んでいない。
LIVING ART ENTERPRISES, LLC/SCIENCE PHOTO LIBRARY
関連するトピック
足関節骨折
>