honeypot link
skip to main content
プロフェッショナル版
家庭版
Msd マニュアル
プロフェッショナル版
医学事典
リソース
コラム
診察・手技ビデオ
クイズ
MSDマニュアルについて
医学事典
リソース
<
画像
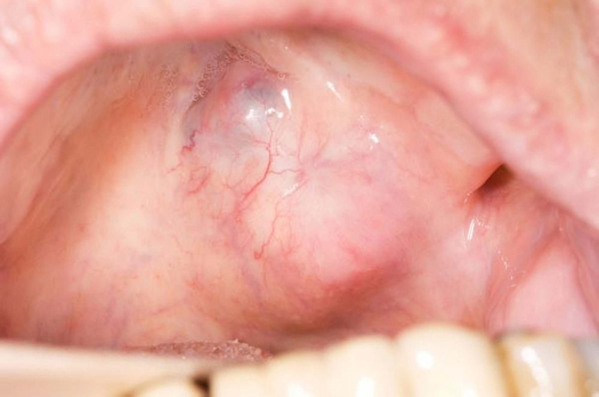
口蓋唾液腺の多形腺腫
多形腺腫は最も一般的な口腔内の良性腫瘍である。最も発生頻度の高い部位は口蓋粘膜である。
DR. P.MARAZZI/SCIENCE PHOTO LIBRARY
関連するトピック
口腔内増殖物
>