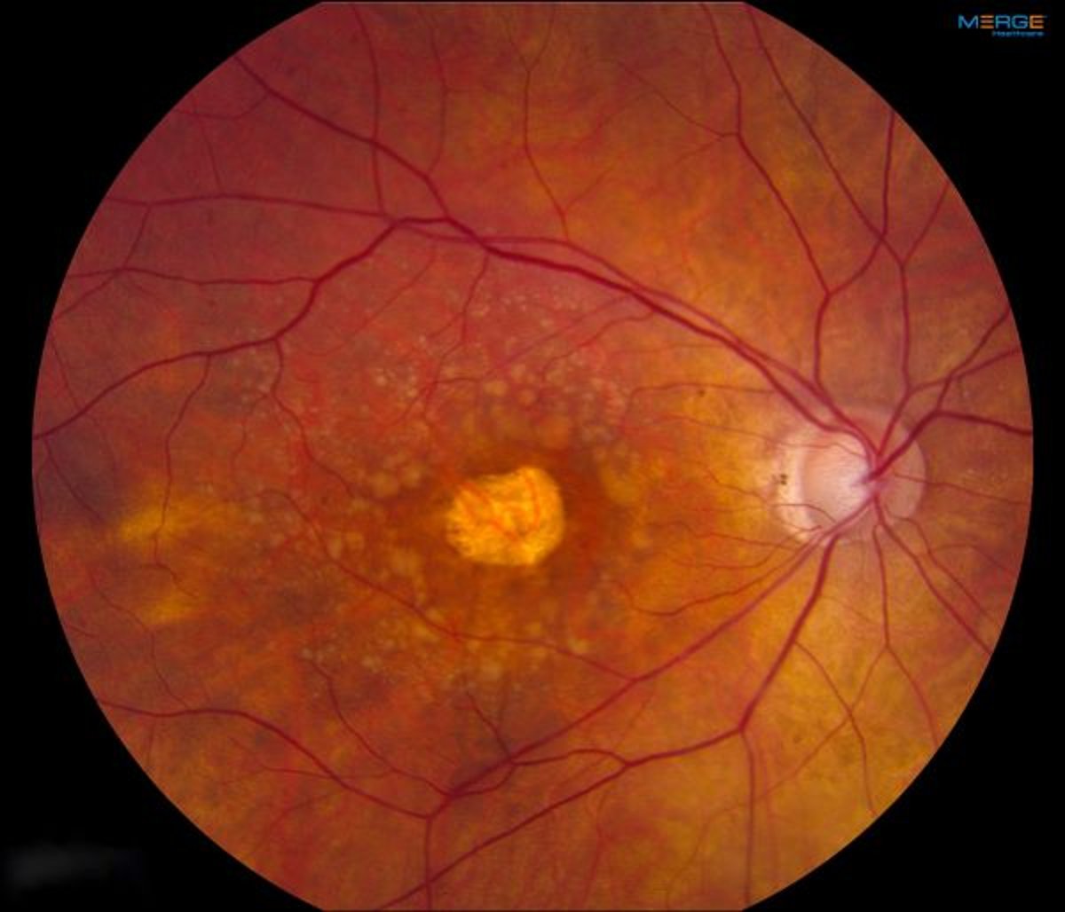
加齢黄斑変性(萎縮型,進行期)
一部の眼では,時間の経過とともに,網膜色素上皮および視細胞の中心窩での萎縮が生じる。これにより,進行期の加齢黄斑変性の特徴である著明な中心視力障害が生じることがある。
Image provided by Sunir Garg, MD.
関連するトピック
一部の眼では,時間の経過とともに,網膜色素上皮および視細胞の中心窩での萎縮が生じる。これにより,進行期の加齢黄斑変性の特徴である著明な中心視力障害が生じることがある。
Image provided by Sunir Garg, MD.