honeypot link
skip to main content
プロフェッショナル版
家庭版
Msd マニュアル
プロフェッショナル版
医学事典
リソース
コラム
診察・手技ビデオ
クイズ
MSDマニュアルについて
医学事典
リソース
<
画像
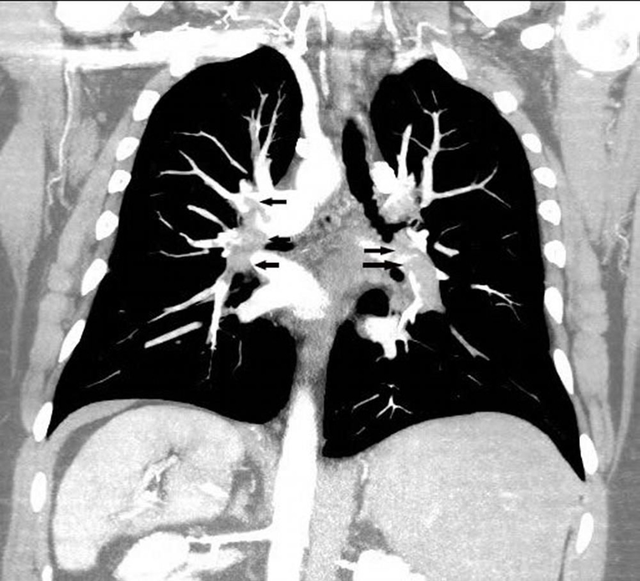
冠状断再構成のCT肺血管造影
この冠状断再構成のCT肺血管造影像では,両側の肺動脈に広範な肺塞栓(矢印)がみられる。
Image courtesy of Hakan Ilaslan, MD.
関連するトピック
CT
>