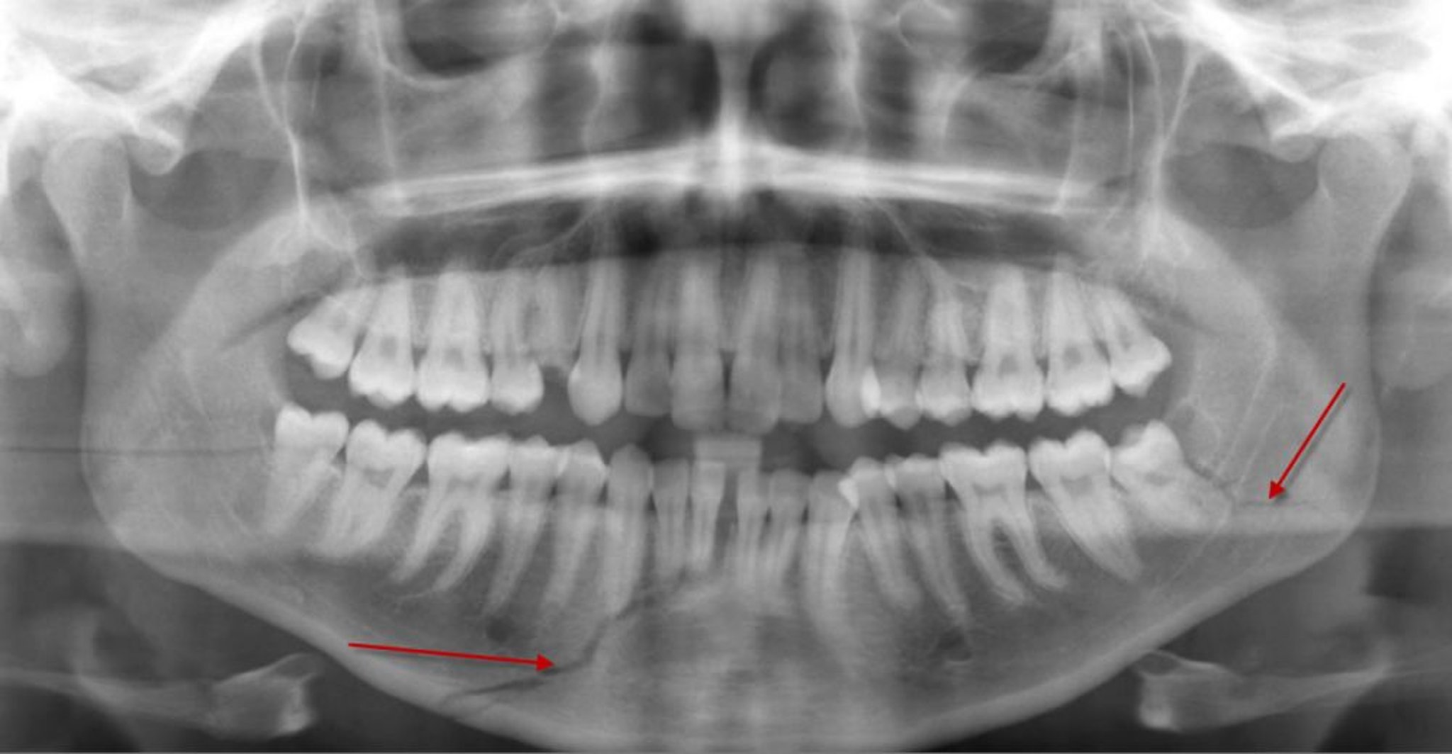
下顎骨骨体部の骨折
このパノラマX線写真では,下顎骨骨体部に骨折を示す透亮像(下の矢印)がみられ,下顎前歯の歯根にまで達している。左下顎角の骨折(矢印)もみられる。
DU CANE MEDICAL IMAGING LTD/SCIENCE PHOTO LIBRARY
関連するトピック
このパノラマX線写真では,下顎骨骨体部に骨折を示す透亮像(下の矢印)がみられ,下顎前歯の歯根にまで達している。左下顎角の骨折(矢印)もみられる。
DU CANE MEDICAL IMAGING LTD/SCIENCE PHOTO LIBRARY