ループス腎炎—巣状(クラスIII)
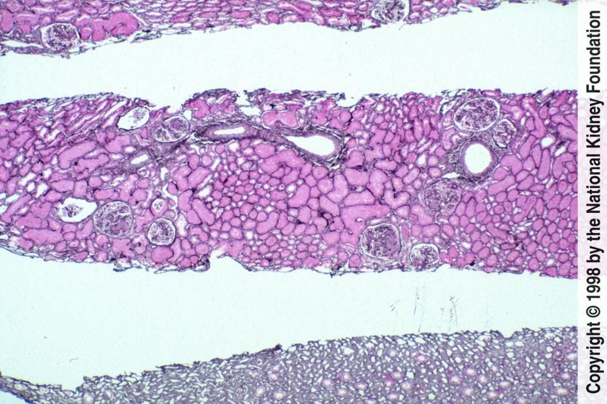
巣状ループス腎炎は,免疫複合体沈着物に起因する管内増殖が生検標本中の50%未満の糸球体に認められることを特徴とする。
Image provided by Agnes Fogo, MD, and the American Journal of Kidney Diseases' Atlas of Renal Pathology (see www.ajkd.org).
関連するトピック
巣状ループス腎炎は,免疫複合体沈着物に起因する管内増殖が生検標本中の50%未満の糸球体に認められることを特徴とする。
Image provided by Agnes Fogo, MD, and the American Journal of Kidney Diseases' Atlas of Renal Pathology (see www.ajkd.org).