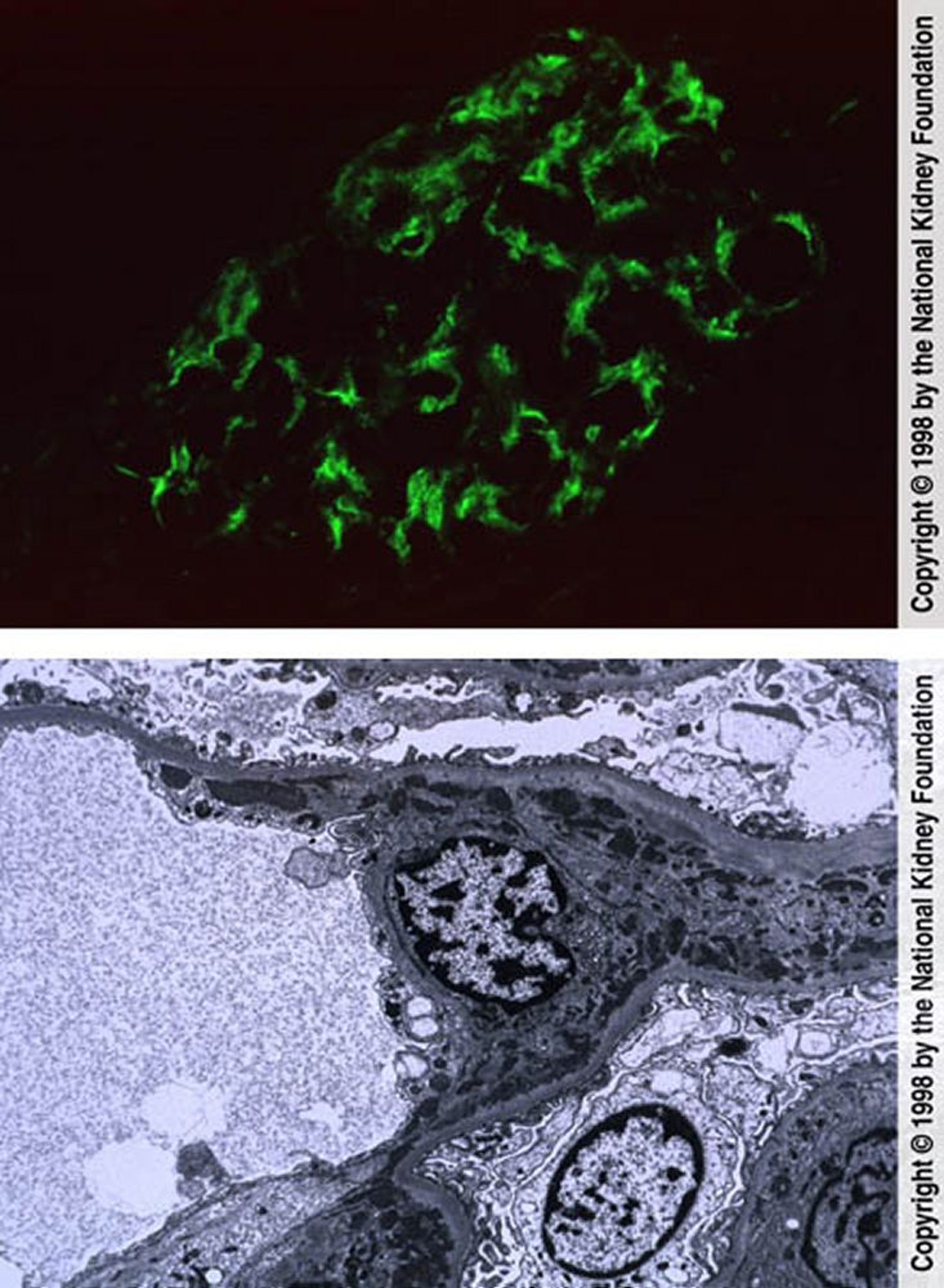
ループス腎炎—メサンギウム増殖性(クラスII)
上の画像ではメサンギウム領域へのIgM沈着が認められる(抗IgM抗体による蛍光抗体法,400倍)。下の画像では,メサンギウム領域の高密度免疫複合体沈着物および内皮細胞の細胞質内の網状凝集体が透過型電子顕微鏡で示されている(8000倍)。
Image provided by Agnes Fogo, MD, and the American Journal of Kidney Diseases' Atlas of Renal Pathology (see www.ajkd.org).
関連するトピック
